DOI: 10.1590/1809-6891v21e-58640



Immunoexpression of metalloproteinases 9 (MMP-9) and 2 (MMP-2) and their inhibitors (TIMP-1 and TIMP-2) in normal and neoplastic canine mammary tissue


Imunomarcação de metaloproteinases 9 (MMP-9) e 2 (MMP-2) e seus inibidores (TIMP-1) e (TIMP-2) no tecido mamário canino normal e neoplásico

Hugo Henrique Ferreira1 , Denise Caroline Toledo1 , Adriana Marques Faria1 , Diego Pereira Araújo1 , Andrigo Barboza di Nardi2 , Regiani Nascimento Gagno Porto1 , Veridiana Maria Brianezi Dignani de Moura1



1Universidade Federal de Goiás (UFG), Goiânia, GO, Brazil
2Universidade Estadual Paulista, Jaboticabal (UNESP), SP, Brazil
*Correspondent - hugo.hen@hotmail.com

Abstract
The aim of this study was to perform the immunostaining of MMP-9 and MMP-2 and its inhibitors, TIMP-1 and TIMP-2, on normal and neoplastic canine mammary tissue in order to evaluate the behavior of these proteins in extracellular matrix (ECM) remodeling in different neoplastic mammary types. Thus, 48 samples of canine mammary tissue were analyzed, 14 of which complex carcinomas, 13 tubulopapillary carcinomas, six single adenomas and 15 normal mammary tissue. There were differences in MMP-9, TIMP-1 and TIMP-2 according to mammary histomorphology, and MMP-9 presented increased immunoexpression in epithelial and stromal cells in tubulopapillary and complex carcinomas. TIMP-1 exhibited reduced immunostaining in the stromal cells of the complex carcinomas and TIMP-2 enhanced immunostaining in the epithelial cells of tubulopapillary carcinomas. There was a positive correlation between MMP-9 and TIMP-1 in epithelial and stromal cells regarding immunostaining intensity and number of labeled cells in the normal breast. There was a positive correlation between MMP-9 and TIMP-2 in the epithelial cells of tubulopapillary carcinomas. It is concluded that balanced activity between MMP-9, MMP-2, TIMP-1 and TIMP-2 maintains normal canine mammary tissue homeostasis while increased immunoexpression of MMP-9 and TIMP-2 and reduced TIMP- 1 in carcinomas suggest a favorable condition for tumor evolution.
Keywords: dog, mammary gland, neoplasm, matrix metalloproteinases.

Resumo
Este estudo teve como objetivo realizar a imunomarcação de MMP-9 e MMP-2 e seus inibidores, TIMP-1 e TIMP-2, no tecido mamário canino normal e neoplásico, a fim de avaliar o comportamento dessas proteínas no remodelamento da matriz extracelular (MEC) em diferentes tipos neoplásicos mamários. Foram analisadas 48 amostras de tecido mamário canino, sendo 14 carcinomas complexos, 13 carcinomas tubulopapilares, seis de adenomas simples e 15 mamas sem alterações. Houve diferença em MMP-9, TIMP-1 e TIMP-2 de acordo com a histomorfologia mamária, sendo que MMP-9 apresentou maior imunoexpressão em células epiteliais e estromais em carcinomas tubulopapilares e complexos. TIMP-1 exibiu menor imunomarcação nas células estromais dos carcinomas complexos e TIMP-2 maior imunomarcação nas células epiteliais dos carcinomas tubulopapilares. Houve correlação positiva entre MMP-9 e TIMP-1 nas células epiteliais e estromais quanto à intensidade de imunomarcação e número de células marcadas na mama normal. Houve correlação positiva entre MMP-9 e TIMP-2 nas células epiteliais dos carcinomas tubulopapilares. Conclui-se que a atividade equilibrada entre MMP-9, MMP-2, TIMP-1 e TIMP-2 mantém a homeostase do tecido mamário canino normal enquanto a imunoexpressão aumentada de MMP-9 e TIMP-2 e a imunoexpressão reduzida de TIMP-1 nos carcinomas sugere condição propícia à evolução tumoral.
Palavras-chave: cão, glândula mamária, neoplasia, metaloproteinases de matriz.


Section: Medicina Veterinária

Received
May 17, 2019.
Accepted
March 3, 2020.
Published
August 6, 2020.

www.revistas.ufg.br/vet
visit the website to get the how to cite in the article page.



Introduction

Mammary neoplasms can represent 50% to 70% of tumors diagnosed in intact bitches(1), and 20% to 80% of these cases are classified as malignant when submitted to histopathological examination(2).

Malignant tumors have metastatic potential. However, for this to occur, neoplastic cells must detach themselves from the primary tumor mass, cross physical barriers such as the extracellular matrix (ECM), reach a distant tissue, and proliferate there(3-5). Bearing in mind that the degradation of the basement membrane (BM) and ECM comprises one of the initial events of the metastatic process(6, 7), matrix metalloproteinases (MMP) have been studied due to their ability to degrade components of BB and ECM(8), culminating in tumor progression and metastasis(9, 10). In this context, knowledge of MMP is also important to guide better forms of treatment for different types of cancer(11, 12).

MMPs are proteolytic enzymes that act in physiological and pathological processes(13) and secreted in the extracellular medium as inactive pro-enzymes, which are cleaved or conjugated to other components to produce the active enzyme(14, 15). MMP activity is preferably controlled by tissue matrix metalloproteinase inhibitors (TIMP), which can be of four types (TIMP-1 to TIMP-4) and bind to several MMP, with TIMP-1 and TIMP-2 inhibiting MMP-9 and MMP-2, respectively(16, 17).

In humans, increased immunoexpression of MMP in different tumors, especially MMP-2 and 9, is associated with a high degree of histological undifferentiation, advanced tumor stage, increased risk of metastasis, and death(18-21), which is also observed in breast tumors(18, 22, 23). On the other hand, the immunoexpression of MMP and its inhibitors in the neoplastic mammary tissue of dogs is still not well understood. However, there has been a description of higher immunostaining of MMP, especially MMP-2 and MMP-9, and a reduction in TIMP in neoplastic mammary tissue compared to the normal(24, 25). Aresu et al.(26) related MMP-2 and MMP-9 as having an important role in the malignancy of the breast tumor in bitches, but Wu et al.(27) concluded that bitches with a high concentration of MMP-9 and low TIMP-1 have a high metastasis rate for lymph nodes, high neoplastic progression, and low overall survival rate.

Therefore, this study aimed to perform the immunostaining of MMP-9, MMP-2, TIMP-1, and TIMP-2 to evaluate the behavior of these proteins in the ECM remodeling in normal and neoplastic canine mammary tissue.


Material and methods


Forty-eight samples of canine mammary tissue were selected from a histopathological diagnosis file, six from simple mammary adenoma (MA), 13 from tubulopapillary carcinoma (TC), and 14 from complex carcinoma (CC), according to the Goldschmidt et al.(2) classification, as well as 15 from normal mammary tissue (NM), from bitches with no change in mammary chains.

Two representative cyto-histomorphological fields were also selected from each of the 48 samples for making a tissue microarray (TMA) block and conducting the immunohistochemical study. The preparation of the TMA block followed the technique described by Bubendorf et al.(28). In summary, cylindrical segments (colors) of 2 mm in diameter were removed using a Tissue MicroArray Builder 20010.2 (Histopathology Ltd, Hungary) after identifying representative fields of cyto-histomorphological types in donor blocks and transferred to two receiver blocks (TMA).

Subsequently, 3-µm sections were made from TMA blocks for confirming the selected areas at the HE staining as well as evaluating the MMP-9, MMP-2, TIMP-1, and TIMP-2 immunostaining. The sections for the immunohistochemistry technique were stretched on silanized slides (Starfrost White, Sakura, ready to use, Germany – Dako 9545-1), maintained in an oven at 36 °C for two hours, deparaffinized, hydrated, washed in distilled water and buffer solution TRIS pH 7.4, and incubated in sodium dodecyl sulfate (SDS) solution for 10 minutes.

Then, the cuts were submitted to antigenic recovery, followed by the blocking of endogenous peroxidase in a methanolic solution of 3% H2O2 for 15 minutes. Nonspecific reactions were blocked by incubating the slides in a 30% skimmed milk powder (Molico®) solution for 1.5 hours, followed by incubation with anti-MMP-2, anti-MMP-9, anti-TIMP-1, and anti-TIMP-2 antibodies in a humid chamber at 4 °C for 18 hours (Board 1).

The slides were incubated in a signal amplification system (Advance System, Dako K4068) in a humid chamber at room temperature for 30 minutes and the diaminobenzidine solution (DAB, Dako K3468-1) for three minutes to develop the reaction. The buffer solution TRIS pH 7.4 was used to wash the cuts between the steps. It was followed by counterstaining with Harris' hematoxylin for 20 seconds, washing in distilled water, dehydration, clearing, and assembling of slides with coverslips and synthetic resin.

The immunohistochemical evaluation considered the intensity of immunostaining and the number of labeled cells for MMP-2, MMP-9, TIMP-1, and TIMP-2 in the acinar epithelium and periacinar stroma. The intensity of immunostaining of antibodies was evaluated semi-quantitatively, following the model of Aresu et al.(26), using scores from zero to three, with zero being the absence of immunostaining and one, two, and three being slight, moderate, and accentuated immunostaining, respectively. The quantification of acinar epithelial and periacinar stromal cells considered a score zero when there was no immunostaining, and scores one, two, and three when the cells were immunostained in 1–33%, 34–66%, and 67–100% of the tissue, respectively.

The Kruskal-Wallis test was used in the statistical analysis of the variables intensity of immunostaining and the number of immunostained cells relative to the mammary histomorphology, with a significant difference when p<0.05. The Spearman correlation test was used to correlate the immunoexpression of antibodies in normal and neoplastic breasts. The data were processed using Excel 2010 and Graphpad Instat version 3.0.


Results


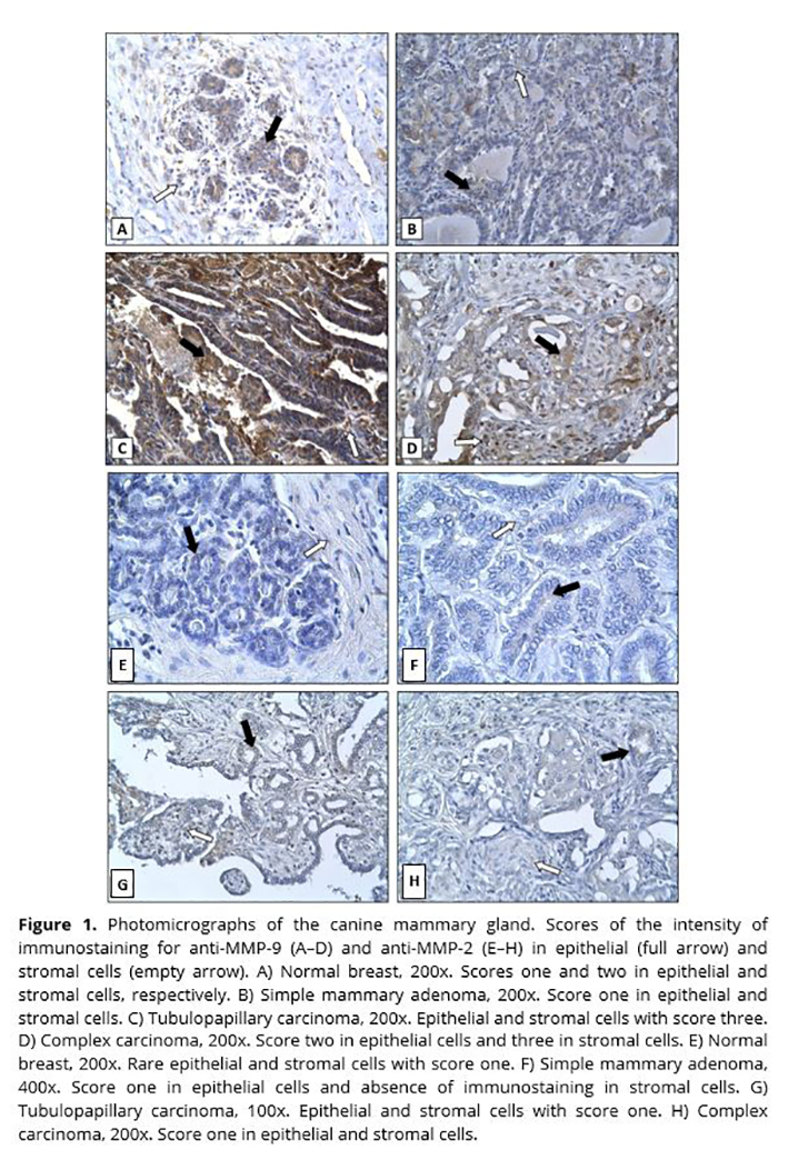
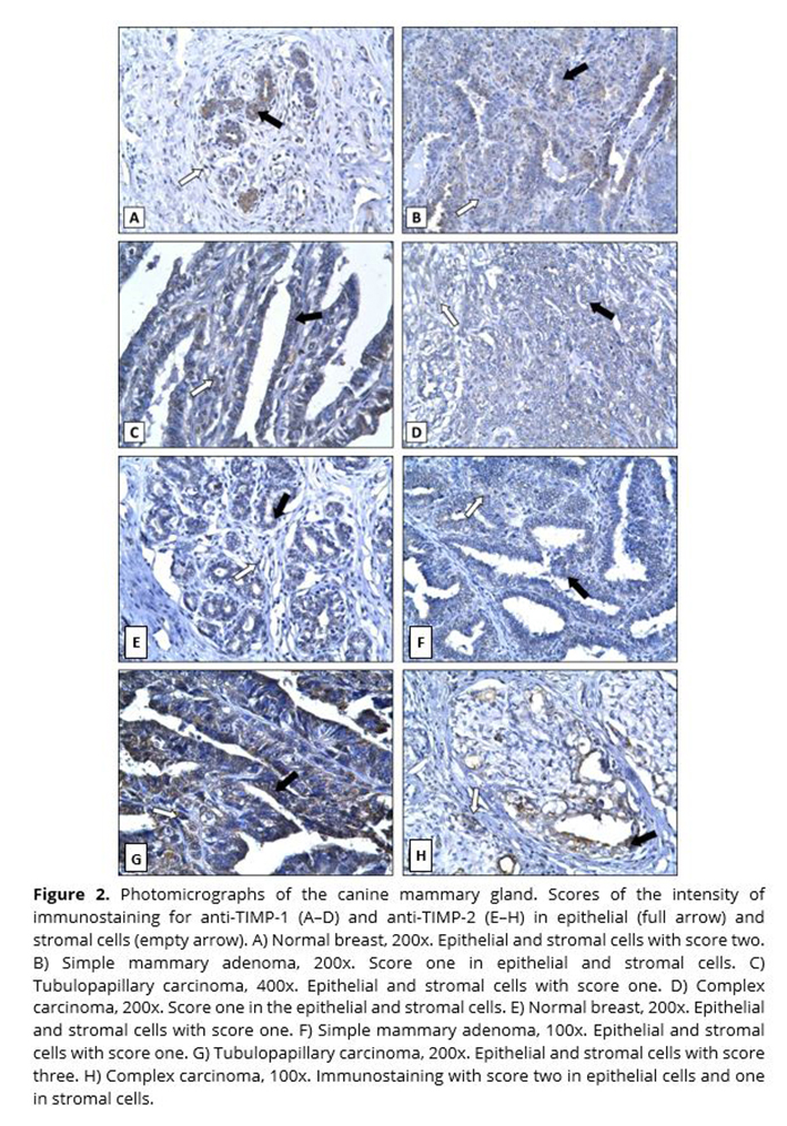
The used antibodies provided cytoplasmic immunostaining, with scores of the intensity of immunostaining and the number of immunostained cells ranging from absent to accentuated, depending on the antibody, cell type, and cyto-histomorphological pattern (Figures 1 and 2).

 

Regarding the intensity of immunostaining of MMP-9 in acinar epithelial and periacinar stromal cells, a difference was observed between normal and neoplastic mammary tissues with complex and tubulopapillary carcinoma (p<0.05), with slight immunostaining in the normal breast and moderate or accentuated in carcinomas. In contrast, no difference was observed between the evaluated samples relative to the number of acinar epithelial and periacinar stromal cells labeled for MMP-9 (p>0.05), with a marked number of labeled cells in most samples. Moreover, no difference in the immunostaining of MMP-2 in acinar epithelial and periacinar stromal cells was found between normal and neoplastic canine mammary tissue samples, with the majority presenting a slight intensity of immunostaining and a slight number of labeled cells (Table 1).
The intensity of immunostaining of TIMP-1 was higher in periacinar stromal cells of normal mammary tissue (p<0.05) compared to complex carcinomas. Immunostaining of TIMP-1 was observed in the acinar epithelium, periacinar fibroblasts, and inflammatory cells (lymphocytes) in all samples. For TIMP-2, the intensity of immunostaining in acinar epithelial cells was high (p<0.05) in tubulopapillary carcinomas compared to the normal breast (Table 2).
A positive correlation was found between MMP-9 and TIMP-1 in normal mammary glands regarding the intensity of immunostaining in epithelial (r=0.5552; p=0.0136) and stromal cells (r=0.4708; p=0.0362), as well as for the number of immunostained epithelial (r=0.4720; p=0.0356) and stromal cells (r=0.5259; p=0.0207). A strong positive correlation was also observed between MMP-9 and TIMP-2 regarding the intensity of immunostaining in epithelial cells of the tubulopapillary carcinoma (r=0.7531; p=0.0098).



Discussion


Studies on tumor biological behavior have focused on stromal tissue, with its role in tumorigenesis, tumor invasion, and metastasis formation being considerable(29, 30). MMP and TIMP play an important role in this mechanism, as they participate in the process of stromal degradation and components of the basement membrane, facilitating the dissemination of neoplastic cells(31).

Regarding MMP-9, a difference was observed between normal mammary tissue and malignant neoplastic tissue, suggesting the involvement of this enzyme in the development of canine mammary cancer. Similarly, Hirayama et al.(25) and Kawae et al.(24) observed high immunostaining of MMP-9 in carcinomas. Gramulia et al.(33) reported a diffuse or granular cytoplasmic pattern of MMP-9 in carcinomas, which was also observed in this research. In addition, Loukopoulos et al.(32) described marked immunostaining of this enzyme in carcinomas, which reiterates the importance of its increase in canine mammary tissue with malignant proliferation, which may be related to the process of tissue invasion by neoplastic cells. In this sense, MMP-9 is important in neoplastic development, but its immunostaining profile is variable.

No difference was observed between the groups in the evaluation of the number of epithelial and stromal cells labeled for MMP-9, which is in agreement with the findings of Pellikainen et al.(34) and Aresu et al.(26). However, similar to the results observed in this research, these authors describe a certain degree of cytoplasmic immunostaining of MMP-9 in normal epithelial and stromal cells, as well as in neoplastic epithelial cells. Therefore, the intensity of immunostaining is considered as a valuable evaluation tool for MMP-9 in comparison to the number of labeled cells, especially when considering malignant neoplastic cells, as they commonly have genetic heterogeneity(35, 36) and clonal expansion capacity(37, 38), which allows the proliferation of cells with a high capacity for MMP-9 synthesis, allowing a high degradation of the basement membrane (BM) and ECM, and facilitating tumor invasion.

The MMP activity in canine mammary tumors is mainly associated with malignancy(26, 39). Santos et al.(40) concluded that MMP-9 and Ki-67 are independent prognostic markers in malignant mammary tumors, suggesting that the high immunoexpression of MMP in the postoperative period in aggressive malignant tumors can be studied as a therapeutic target. Yokta et al.(41) concluded that concentrations of this MMP could be four to 26 times higher in canine mammary carcinomas than in normal mammary tissue. The results of this study corroborate this hypothesis, especially regarding the expression of MMP-9, which was more pronounced in epithelial and stromal cells of complex and tubulopapillary carcinomas than in the normal mammary gland.

The evaluation of the immunostaining of MMP-2 showed no difference between the evaluated samples regarding the intensity and number of immunostained epithelial and stromal cells. On the contrary, Aresu et al.(26) demonstrated high levels of pro-MMP-2 and MMP-2 by the zymography and immunohistochemistry methods, respectively, in carcinomas compared to mammary adenomas in bitches. However, the authors made no distinction regarding the histomorphological type, evaluating together the different samples diagnosed with carcinoma. Thus, the absence of statistical difference in the present study could be attributed to the types of evaluated tumors, which may be less influenced by MMP-2 compared to MMP-9, which exhibited higher intensity of immunostaining in carcinomas.

According to Pellikainen et al.(34), the immunoexpression of MP-1 and TIMP-2 in tissues contributes to the activation and regulation of MMP-2 and can alter its participation in different neoplastic processes. Papparella et al.(39) describe the immunostaining of MMP-2 in normal and neoplastic epithelial cells, as well as in stromal cells, as observed in this study.

The low intensity of immunostaining of TIMP-1 was observed in periacinar stromal cells of complex carcinoma compared to the normal breast. On the other hand, Aresu et al.(26) described no difference in the immunostaining of TIMP-1 between normal and neoplastic canine mammary tissue. Kawai et al.(24) demonstrated high immunoexpression of this protein in carcinomas, followed by adenomas and normal breast. In humans, TIMP-1 is described as an inhibitor of tumor cell invasion and metastasis. As an example, Nakopoulou et al.(42) evaluated the immunohistochemical expression of TIMP-1 in 133 infiltrating breast carcinomas of women and observed increased immunostaining in cancer cells in 60.15% of the cases, which is inversely related to the histological degree, inversely proportional to cell proliferation, and its overexpression in neoplastic cells a determining factor for favorable prognosis in women. Thus, in this study, the reduction of the immunostaining of TIMP-1 and the absence of difference of TIMP-2 in complex carcinoma may indicate a high degradation of ECM and tumor progression in the referred histomorphological type.

High immunostaining was observed in the epithelial cells of the tubulopapillary carcinoma compared to those of the normal breast when evaluating the intensity of immunostaining of TIMP-2 relative to the diagnosis. The increased immunoexpression of TIMP is still controversial. TIMP-2 inhibits the activity of MMP and it is expected that high levels of this inhibitor preclude tumor progression, which, therefore, implies a better prognosis for patients with neoplasms(13). However, evidence suggests that TIMP are multifunctional proteins that, in addition to their inhibitory effect on MMP, also promote the proliferation of some cell types, and their anti-apoptotic effects may favor the initial growth of the primary tumor(44).

In women, increased immunoexpression of TIMP-2 is also correlated with higher tumor aggressiveness and worse prognosis(16, 44). In this context, high intensity of TIMP-2 in tubulopapillary carcinoma may be related both to the inhibition of the activity of MMP and to the promotion of tumor growth and ECM degradation. However, the proliferative action of TIMP-2, together with the proteolytic action of MMP-9, may overlap the inhibitory action of TIMP-2 and, thus, represent tumor evolution and invasion, as a positive correlation was observed between these proteins. Also, significant immunostaining restricted to tubulopapillary carcinoma suggests the relationship between TIMP-2 and this histomorphological type, as it occurs in humans, where the increase in this protein has been associated with the ductal histological type(45, 46).

Therefore, the results show that the balance between metalloproteinases and their inhibitors in the normal canine breast is an essential condition for maintaining homeostasis, as only a positive correlation between MMP-9 and TIMP-1 was observed in normal mammary tissue. Thus, in light of these results, the increased immunostaining of TIMP and MMP, especially MMP-9 and TIMP-2, may compose an important factor in tumor evolution and the occurrence of tissue invasion relative to tubulopapillary and complex carcinomas in bitches.


Conclusion


Balanced activity between MMP-9, MMP-2, TIMP-1, and TIMP-2 maintains normal canine mammary tissue homeostasis, while an increased immunoexpression of MMP-9 and TIMP-2 and reduced immunoexpression of TIMP-1 in carcinomas suggest a favorable condition for tumor evolution and invasion. Also, tissue concentration of MMP and its inhibitors in the breast of bitches vary according to the tumor type, the degree of malignancy, and the adjacent neoplastic and stromal cells, which may reveal a little more about the behavior of each neoplastic type and assist future studies regarding diagnosis, treatment, and prognosis.


References


1. MOE L. Population‐based incidence of mammary tumours in some dogs breeds. Journal Reprodutive Fertil Supplement. 2001; 57:439-443

2. Goldschmidt MH, Peña L, Zappulli V. Tumors of the Mammary Gland. In: Meuten, D. J. Tumors in Domestic Animals. 5º ed. Ames, John Wiley & Sons, Inc; 2017, cap. 17, p. 723-765

3. Massagué J, Obenauf AC. Metastatic Colonization. Nature. 2016; 529(7586):298-306

4. Willins AL, Sabeh F, Li X, Weiss SJ. Extracellular matrix determinants and the regulation of cancer cell invasion stratagems. Journal of Microscopy. 2013; 251(3):250-560. Disponível em: https://doi.org/10.1111/jmi.12064

5. Simpson CD, Anyiwe K, Schimmer AD. Anoikis resistance and tumor metastasis. Cancer lett. 2008; 272(2):177-85. Disponível em: https://doi.org/10.1016/j.canlet.2008.05.029

6. Kaushik S, Pickup MW, Weaver VM. From transformation to metastasis: deconstructing the extracellular matrix in breast câncer. Cancer Metastasis Rev. 2016; 35(4):655-667. Disponível em: https://doi.org/10.1007/s10555-016-9650-0

7. Kelley LC, Lohmer LL, Hagedorn EJ, Sherwood DR. Traversing the basement membrane in vivo: A diversity of strategies. J Cell Biol. 2014; 204(3):291-302. Disponível em: https://doi.org/10.1083/jcb.201311112

8. Holanda AON, Oliveira ARS, Cruz KJC, Severo JS, Morais JBS, Silva BB, Marreiro DN. Zinc and metalloproteinases 2 and 9: What is their relation with breast cancer?. Rev. Assoc. Med. Bras. 2017; 63(1):78-84. Disponível em: https://doi.org/10.1590/1806-9282.63.01.78

9. Davies KJ. The Complex Interaction of Matrix Metalloproteinases in the Migration of Cancer Cells through Breast Tissue Stroma. Int J Breast Cancer. 2014: 839094. Disponível em: http://dx.doi.org/10.1155/2014/839094

10. Groblewska M, Siewko M, Mroczko B, Szmitkowski M. The role of matrix metalloproteinases (MMPs) and their inhibitors (TIMPs) in the development of esophageal cancer. Folia Histochem Cytobiol. 2012; 50(1):12-9

11. Jabłońska-Trypuć A, Matejczyk M, Rosochacki S. Matrix metalloproteinases (MMPs), the main extracellular matrix (ECM) enzymes in collagen degradation, as a target for anticancer drugs. J Enzyme Inhib Med Chem. 2016; 31(1):177-183. Disponível em: http:// http://dx.doi.org/10.3109/14756366.2016.1161620

12. Radisky ES, Radisky DC. Matrix metalloproteinases as breast cancer drivers and therapeutic targets. Front Biosci (Landmark Ed). 2015; 20:1144-1163. Disponível em: https://www.ncbi.nlm.nih.gov/pmc/articles/PMC4516284/

13. Bourboulia D, Stetler-Stevenson WG. Matrix metalloproteinases (MMPs) and tissue inhibitors of metalloproteinases (TIMPs): Positive and negative regulators in tumor cell adhesion. Seminars in Cancer Biology. 2010; 20(3):161-168. Disponível em: https://doi.org/10.1016/j.semcancer.2010.05.002

14. Kruidenier L, Macdonald TT, Collins JE, Pender SLF, Sanderson IR. Myofibroblast Matrix Metalloproteinases Activate the Neutrophil Chemoattractant CXCL7 From Intestinal Epithelial Cells. GASTROENTEROLOGY. 2006;130(1):127–136. Disponível em: https://doi.org/10.1053/j.gastro.2005.09.032

15. Solé S, Petegnief V, Gorina R, Chamorro A, Planas AM. Activation of Matrix Metalloproteinase-3 and Agrin Cleavage in Cerebral Ischemia/Reperfusion. Journal of Neuropathology and Experimental Neurology. 2004; 63(4): 338 349

16. Brew K, Nagase H. The tissue inhibitors of metalloproteinases (TIMPs): An ancient family with structural and functional diversity. Biochimica et Biophysica Acta. 2010; 803(1):55-7. Disponível em: https://doi.org/10.1016/j.bbamcr.2010.01.003

17. Jinga DC, Blidaru A, Condrea I, Ardeleanu C, Dragomir C, Stefanescu M, Matache C. MMP-9 and MMP-2 gelatinases and TIMP-1 and TIMP-2 inhibitors in breast cancer: correlations with prognostic factors. J Cell Mol Med. 2006; 10(2):499-510. Disponível em: https://doi.org/10.1111/j.1582-4934.2006.tb00415.x

18. Li H, Qiu Z, Li F, Wang C. The relationship between MMP-2 and MMP-9 expression levels with breast cancer incidence and prognosis. Oncol Lett. 2017; 14(5):5865-5870. Disponível em:  https://doi.org/10.3892/ol.2017.6924

19. Bonnans C, Chou J, Werb Z. Remodelling the extracellular matrix in development and disease. Nat Rev Mol Cell Biol. 2014;15(12):786-801. Disponível em: https://doi.org/10.1038/nrm3904

20. Yang B, Tang F, Zhang B, Zhao Y, Feng J, Rao Z. Matrix metalloproteinase-9 overexpression is closely related to poor prognosis in patients with colon câncer. World J Surg Oncol. 2014; 12(24):1-6. Disponível em: https://doi.org/10.1186/1477-7819-12-24

21. Rojiani MV, Alidina J, Esposito N, Rojiani AM. Expression of MMP-2 correlates with increased angiogenesis in CNS metastasis of lung carcinoma. Int J Clin Exp Pathol. 2010;3(8):775-781. Disponível em: https://www.ncbi.nlm.nih.gov/pmc/articles/PMC2993228/

22. Manshadi ZD, Hamid M, Kosari F, Tayebinia H, Khodadadi I. The Relationship between Matrix Metalloproteinase Gene Polymorphisms and Tumor Type, Tumor Size, and Metastasis in Women with Breast Cancer in Central Iran. Middle East Journal of Cancer. 2018; 2(9):123-131.

23. Doyle DM, Miller KD. Development of new targeted therapies for breast cancer. Breast Cancer. 2008; 15(1):49-56. Disponível em: https://doi.org/10.1007/s12282-007-0003-2

24. Kawai K, Uetsuka K, Doi K, Nakayama H. The activity of matrix metalloproteinase (MMPs) and tissue inhibitors of metalloproteinases (TIMPs) in mammary tumors of dogs and rats. Journal of Veterinery Medical Science. 2006, 68(2):105-111

25. Hirayama K, Yokota H, Onai R, Kobayashi T, Kumata T, Kihara K, Okamoto M, Sako T, Nakade T, Izumisa Y, Taniyama H. Detection of matrix metalloproteinases in canine mammary tumours: analysis by immunohistochemistry and zymography. Journal of Comparative Pathology. 2002; 127:249-256. Disponível em: https://doi.org/10.1053/jcpa.2002.0590

26. Aresu L, Giantin M, Morello E, Vascellari M, Astagnaro M, Lopparelli R, Zancanella V, Granato A, Arico A, Bradaschia A, Mutinelli F, Dacasto M. Matrix metalloproteinases and their inhibitors in canine mammary tumors. BMC Vet Res. 2011; 7(33). Disponível em: https://doi.org/10.1186/1746-6148-7-33

27. Wu ZS, Wu Q, Yang JH, Wang HQ, Ding XD, Yang F, Xu XC. Prognostic significance of MMP-9 and TIMP-1 serum and tissue expression in breast cancer. Int J Cancer. 2008; 122(9):2050-6. Disponível em: https://doi.org/10.1002/ijc.23337

28. Bubendorf L, Nocito A, Moch H, Sauter G. Tissue microarray (TMA) technology: miniaturized pathology archives for high-throughput in situ studies. Journal of Pathology. 2001; 195(1):72-79. Disponível em: https://doi.org/10.1002/path.893

29. Majidinia M, Yousefi B. Breast tumor stroma: A driving force in the development of resistance to therapies. Chem Biol Drug Des. 2017; 89(3):309-318. Disponível em: https://doi.org/10.1111/cbdd.12893

30. Khamis ZI, Sahab ZJ, Sang QA. Active Roles of Tumor Stroma in Breast Cancer Metastasis. Int J Breast Cancer. 2012: 574025. Disponivel em: http://dx.doi.org/10.1155/2012/574025

31. Kessenbrock K, Plaks V, Werb X. Matrix Metalloproteinases: Regulators of the Tumor Microenvironment. Cell. 2010; 141(1):52-67. Disponível em: https://doi.org/10.1016/j.cell.2010.03.015

32. Loukopoulos P, Mungall BA, Straw RC, Thornton JR, Forbinson WF. Matrix Metalloproteinase-2 and -9 Involvement in Canine Tumors. Veterinary Pathology. 2003; 40(4):382-394. Disponível em: https://doi.org/10.1354/vp.40-4-382

33. Gramulia BC, Pulz LH, Mota EFF, Fukumasu H, Strefezzi RF. Matrix metalloproteinase 9 expression in canine mammary carcinomas. Brazilian Journal of Veterinary Pathology 2016; 9(2),:55 – 61

34. Pellikainen JM, Ropponen KM, Kataja VV, Kellokoski JK, Eskelinen MJ, Kosma VM. Expression of matrix metalloproteinase (MMP)-2 and MMP-9 in breast cancer with a special reference to activator protein-2, HER2, and prognosis. Clinical Cancer Research. 2004; 10(22):7621-7628. Disponível em: https://doi.org/10.1158/1078-0432.CCR-04-1061

35. Zhang X, Jin G, Li J, Zhang L. Association between Four MMP-9 Polymorphisms and Breast Cancer Risk: A Meta-Analysis. 2015. Medical science monitor : international medical journal of experimental and clinical research. 2015; 21:1115–1123. Disponível em: https://www.ncbi.nlm.nih.gov/pmc/articles/PMC4413812/

36. Yousef EM, Tahir MR, Pierre-St Y, Gaboury LA. MMP-9 expression varies according to molecular subtypes of breast câncer. BMC Cancer 14. 2014; 609. Disponível em: https://doi.org/10.1186/1471-2407-14-609

37. Scott K, Arnott C, Robinson S, Morre RJ, Thompson RG, Marshall JF, Balkwill FR. TNF-α regulates epithelial expression of MMP-9 and integrin αvβ6 during tumour promotion. A role for TNF-α in keratinocyte migration?. Oncogene. 2004; 23; 6954–6966 (2004). Disponível em: https://doi.org/10.1038/sj.onc.1207915

38. Festuccia C, Bologna M, Vicentini C, Tacconelli A, Miano R, Violini S, Mackay AR. Increased matrix metalloproteinase‐9 secretion in short‐term tissue cultures of prostatic tumor cells. International Jounal of Cancer. 1996; 69;386-393, Disponível em: https://doi.org/10.1002/(SICI)1097-0215(19961021)69:5<386::AID-IJC6>3.0.CO;2-1

39. Papparella S, Restucci B, Paciello O, Maiolino P. Expression of matrix metalloprotease-2 (MMP-2) and the activator membrane type 1 (MT1- MMP) in canine mammary carcinomas. Journal of Comparative Pathology. 2002; 126(4):271-276. Disponível em: https://doi.org/10.1053/jcpa.2002.0552

40. Santos AA, Lopes CC, Ribeiro JR, Martins LR, Santos JC, Amorim IF, Gartner F, Matos AJ. Identification of prognostic factors in canine mammary malignant tumours: a multivariable survival study. BMC Veterinary Research 2013, 9(1):1-11. Disponível em: https://doi.org/10.1186/1746-6148-9-1

41. Yokota H, Kumata T, Taketaba S, Kobayashi T, Moue H, Taniyama H, Hirayama K, Kagawa Y, Itoh N, Fujita O, Nakade T, Yuasa A. High expression of 92 kDa type IV collagenase (matrix metalloproteinase-9) in canine mammary adenocarcinoma. Biochimica et Biophysica Acta. 2001; 1568(1):7-12. Disponível em: https://doi.org/10.1016/S0304-4165(01)00192-1

42. Nakopoulou L, Giannopoilou I, Lazaris AC, Alexandrou P, Tsirmpa I, Markaki S, Panayotopoulou E, Keramopoulos A. The favorable prognostic impact of tissue inhibitor of matrix metalloproteinases-1 protein overexpression in breast cancer cells. Acta Pathologica, Microbiologica et Immunologica Scandinavica. 2003; 111(11):1027-1036. Disponível em: https://doi.org/10.1111/j.1600-0463.2003.apm1111105.x

43. Wurtz SO, Schrohl AS, Sorensen NM, Lademann U, Christensen IJ, Mouridsen H, Brunner N. Tissue inhibitor of metalloproteinases-1 in breast cancer. Endocrine-Related Cancer. 2005, 12(2):215-227. Disponível em: https://doi.org/10.1677/erc.1.00719

44. Vizoso FJ, González LO, Corte MD, Rodríguez JC, Vázquez J, Lamelas ML, Junquera S, Merino AM, García-Muñis JL. Study of matrix metalloproteinases and their inhibitors in breast cancer. British Journal of Cancer. 2007; 96(6):903-911. Disponível em: https://www.nature.com/articles/6603666

45. Jobim FC, Xavier NL, Uchoa DM, Cruz DB, Saciloto M, Chemello N, Schwartsmann G. Prevalence of vascular-endothelial growth factor, matrix metalloproteinases and tissue inhibitors of metalloproteinases in primary breast cancer. Brazilian Journal of Medical and Biological Research. 2009; 42:979-987. Disponível em: http://dx.doi.org/10.1590/S0100-879X2009005000016

46. Têtu B, Brisson J, Wang CS, Lapointe H, Beaudry G, Blanchette C, Trudel D. The influence of MMP-14, TIMP-2 and MMP-2 expression on breast cancer prognosis. Breast Cancer Research. 2006; 8(3):1-28. Disponível em: https://doi.org/10.1186/bcr1503