DOI: 10.1590/1809-6891v21e-58640



Imunomarcação de metaloproteinases 9 (MMP-9) e 2 (MMP-2) e seus inibidores (TIMP-1) e (TIMP-2) no tecido mamário canino normal e neoplásico


Immunoexpression of metalloproteinases 9 (MMP-9) and 2 (MMP-2) and their inhibitors (TIMP-1 and TIMP-2) in normal and neoplastic canine mammary tissue

Hugo Henrique Ferreira1 , Denise Caroline Toledo1 , Adriana Marques Faria1 , Diego Pereira Araújo1 , Andrigo Barboza di Nardi2 , Regiani Nascimento Gagno Porto1 , Veridiana Maria Brianezi Dignani de Moura1



1Universidade Federal de Goiás (UFG), Goiânia, GO, Brasil
2Universidade Estadual Paulista, Jaboticabal (UNESP), SP, Brasil
*Correspondente - hugo.hen@hotmail.com

Resumo
Este estudo teve como objetivo realizar a imunomarcação de MMP-9 e MMP-2 e seus inibidores, TIMP-1 e TIMP-2, no tecido mamário canino normal e neoplásico, a fim de avaliar o comportamento dessas proteínas no remodelamento da matriz extracelular (MEC) em diferentes tipos neoplásicos mamários. Foram analisadas 48 amostras de tecido mamário canino, sendo 14 carcinomas complexos, 13 carcinomas tubulopapilares, seis de adenomas simples e 15 mamas sem alterações. Houve diferença em MMP-9, TIMP-1 e TIMP-2 de acordo com a histomorfologia mamária, sendo que MMP-9 apresentou maior imunoexpressão em células epiteliais e estromais em carcinomas tubulopapilares e complexos. TIMP-1 exibiu menor imunomarcação nas células estromais dos carcinomas complexos e TIMP-2 maior imunomarcação nas células epiteliais dos carcinomas tubulopapilares. Houve correlação positiva entre MMP-9 e TIMP-1 nas células epiteliais e estromais quanto à intensidade de imunomarcação e número de células marcadas na mama normal. Houve correlação positiva entre MMP-9 e TIMP-2 nas células epiteliais dos carcinomas tubulopapilares. Conclui-se que a atividade equilibrada entre MMP-9, MMP-2, TIMP-1 e TIMP-2 mantém a homeostase do tecido mamário canino normal enquanto a imunoexpressão aumentada de MMP-9 e TIMP-2 e a imunoexpressão reduzida de TIMP-1 nos carcinomas sugere condição propícia à evolução tumoral.
Palavras-chave: cão, glândula mamária, neoplasia, metaloproteinases de matriz.

Abstract
The aim of this study was to perform the immunostaining of MMP-9 and MMP-2 and its inhibitors, TIMP-1 and TIMP-2, on normal and neoplastic canine mammary tissue in order to evaluate the behavior of these proteins in extracellular matrix (ECM) remodeling in different neoplastic mammary types. Thus, 48 samples of canine mammary tissue were analyzed, 14 of which complex carcinomas, 13 tubulopapillary carcinomas, six single adenomas and 15 normal mammary tissue. There were differences in MMP-9, TIMP-1 and TIMP-2 according to mammary histomorphology, and MMP-9 presented increased immunoexpression in epithelial and stromal cells in tubulopapillary and complex carcinomas. TIMP-1 exhibited reduced immunostaining in the stromal cells of the complex carcinomas and TIMP-2 enhanced immunostaining in the epithelial cells of tubulopapillary carcinomas. There was a positive correlation between MMP-9 and TIMP-1 in epithelial and stromal cells regarding immunostaining intensity and number of labeled cells in the normal breast. There was a positive correlation between MMP-9 and TIMP-2 in the epithelial cells of tubulopapillary carcinomas. It is concluded that balanced activity between MMP-9, MMP-2, TIMP-1 and TIMP-2 maintains normal canine mammary tissue homeostasis while increased immunoexpression of MMP-9 and TIMP-2 and reduced TIMP- 1 in carcinomas suggest a favorable condition for tumor evolution.
Keywords: dog, mammary gland, neoplasm, matrix metalloproteinases.


Seção: Medicina Veterinária

Recebido
17 de maio, 2019.
Aceito
03 de março, 2020
Publicado
6 de agosto de 2020.

www.revistas.ufg.br/vet
Como citar - disponível no site, na página do artigo.


Introdução


As neoplasias mamárias podem representar de 50% a 70% dos tumores diagnosticados em cadelas intactas(1), sendo que 20% a 80% desses casos, quando submetidos a exame histopatológico, são classificados como malignos(2).

Tumores malignos possuem potencial metastático. Entretanto, para que isso ocorra as células neoplásicas devem se desprender da massa tumoral primária, atravessar barreiras físicas como a matriz extracelular (MEC), chegar a um tecido distante e ali proliferar(3-5). Tendo em vista que a degradação da membrana basal (MB) e da MEC compreende um dos eventos iniciais do processo metastático(6, 7), as metaloproteinases de matriz (MMP) vêm sendo estudadas devido a sua capacidade de degradar componentes da MB e MEC(8), culminando na progressão tumoral e metástase(9, 10). Nesse contexto, o conhecimento das MMP também é importante para orientar melhores formas de tratamento para diferentes tipos de câncer(11, 12).

As MMP são enzimas proteolíticas, atuam em processos fisiológicos e patológicos(13) e são secretadas no meio extracelular como pró-enzimas inativas, as quais são clivadas ou conjugadas a outros componentes para produzir a enzima ativa(14, 15). A atividade das MMP é preferencialmente controlada por inibidores teciduais de metaloproteinases de matriz (TIMP), que podem ser de quatro tipos (TIMP-1 a TIMP-4) e se ligar a diversas MMP, sendo que TIMP-1 e TIMP-2 inibem MMP-9 e MMP-2, respectivamente(16, 17).

Em humanos, imunoexpressão aumentada de MMP em diferentes tumores, especialmente MMP-2 e 9, está associada a maior grau de indiferenciação histológica, estágio tumoral avançado, maior risco de metástase e morte(18-21), o que também é observado nos tumores de mama(18, 22, 23). De outra parte, em cães, a imunoexpressão de MMP e seus inibidores no tecido mamário neoplásico ainda não é bem elucidada. Contudo, há descrição de maior imunomarcação de MMP, principalmente MMP-2 e MMP-9, e redução de TIMP no tecido mamário neoplásico em relação ao normal(24, 25). Aresu et al.(26) relacionaram MMP-2 e MMP-9 como tendo um importante papel na malignidade do tumor de mama em cadelas; já Wu et al.(27) concluíram que cadelas com alta concentração de MMP-9 e baixa de TIMP-1 possuem maior taxa de metástase para linfonodos, maior progressão neoplásica e menor taxa de sobrevida global.

Diante disso, este trabalho teve como objetivo realizar a imunomarcação de MMP-9, MMP-2, TIMP-1 e TIMP-2, a fim de avaliar o comportamento dessas proteínas no remodelamento da MEC no tecido mamário canino normal e neoplásico.


Material e métodos


Foram selecionadas 48 amostras de tecido mamário canino, provenientes de um arquivo de diagnóstico histopatológico, sendo seis de adenoma mamário simples (AM), 13 de carcinoma tubulopapilar (CT) e 14 de carcinoma complexo (CC), de acordo com a classificação de Goldschmidt et al. (2), bem como 15 de tecido mamário normal (MN), estas provenientes de cadelas sem qualquer alteração nas cadeias mamárias.

De cada uma das 48 amostras também foram selecionados dois campos representativos do tipo cito-histomorfológico para a confecção de um bloco de microarranjo tecidual (TMA) e realização do estudo imunoistoquímico. A preparação do bloco de TMA seguiu a técnica descrita por Bubendorf et al.(28). Em resumo, após a identificação dos campos representativos dos tipos cito-histomorfológicos nos blocos doadores, segmentos cilíndricos (cores) de 2 mm de diâmetro foram removidos com o auxílio do equipamento Tissue MicroArray Builder 20010.2 "Histopathology Ltd, Hungary" e transferidos para dois blocos receptores (TMA).

Dos blocos de TMA foram confeccionados cortes de 3 µm para a confirmação, à coloração de HE, das áreas selecionadas, bem como para a avaliação da imunomarcação de MMP-9, MMP-2, TIMP-1 e TIMP-2. Os cortes destinados à técnica de imunoistoquímica foram distendidos sobre lâminas silanizadas (Starfrost White, Sakura, ready to use, Germany – Dako 9545-1), mantidos em estufa a 36 °C por duas horas, desparafinizados, hidratados, lavados em água destilada e solução tampão TRIS pH7,4, e incubados em solução de dodecil sulfato de sódio (SDS) por 10 minutos.

Na sequência, os cortes foram submetidos à recuperação antigênica, seguida do bloqueio da peroxidase endógena em solução metanólica de H2O2 a 3%, por 15 minutos. Para bloquear reações inespecíficas, as lâminas foram incubadas em solução de leite em pó desnatado (Molico®) a 30%, por 1h30min, seguindo-se a incubação com os anticorpos anti-MMP-2, anti-MMP-9, anti-TIMP-1 e anti-TIMP-2, em câmara úmida, durante 18 horas, a 4 °C (Quadro 1).

Em seguida, as lâminas foram incubadas em sistema de amplificação de sinais (Advance System, Dako K4068), em câmara úmida, à temperatura ambiente, durante 30 minutos e, para a revelação da reação, utilizou-se solução de diaminobenzidina (DAB, Dako K3468-1) por três minutos. A solução tampão TRIS pH7,4 foi utilizada para a lavagem dos cortes entre as etapas. Seguiram-se a contracoloração com hematoxilina de Harris por 20 segundos, lavagem em água destilada, desidratação, diafanização e montagem das lâminas com lamínula e resina sintética.

Na avaliação imunoistoquímica consideraram-se a intensidade da imunomarcação e o número de células marcadas para MMP-2, MMP-9, TIMP-1 e TIMP-2 no epitélio acinar e estroma periacinar. A intensidade da imunomarcação dos anticorpos foi avaliada de forma semiquantitativa, seguindo o modelo de Aresu et al.(26), utilizando os escores de zero a três, sendo zero ausência de imunomarcação e um, dois e três imunomarcação discreta, moderada e acentuada, respectivamente. Na quantificação das células epiteliais acinares e estromais periacinares consideraram-se o escore zero quando da ausência de imunomarcação, e os escores um, dois e três quando da imunomarcação de células em 1-33%, 34-66% e 67-100% do tecido, respectivamente.

Na análise estatística das variáveis intensidade de imunomarcação e número de células imunomarcadas em relação à histomorfologia mamária foi utilizado o teste Kruskal-Wallis, considerando diferença significativa quando p<0,05. O teste de Correlação de Spearman foi utilizado para correlacionar a imunoexpressão dos anticorpos nas mamas normais e neoplásicas. Os dados foram processados no programa Excel 2010 e software Graphpad Instat, versão 3.0.


Resultados


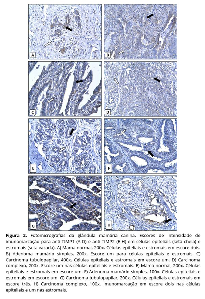
Os anticorpos utilizados conferiram imunomarcação citoplasmática, com escores intensidade de imunomarcação e número de células imunomarcadas variando de ausente a acentuado, a depender do anticorpo, tipo celular e padrão cito-histomorfológico (Figuras 1 e 2).


Quanto à intensidade de imunomarcação de MMP-9 nas células epiteliais acinares e estromais periacinares, houve diferença entre o tecido mamário normal e o neoplásico com carcinoma tubulopapilar e complexo (p<0,05), sendo a imunomarcação discreta na mama normal, e moderada ou acentuada nos carcinomas. Em contraste, não foi observada diferença entre as amostras avaliadas em relação ao número de células epiteliais acinares e estromais periacinares marcadas para MMP-9 (p>0,05), sendo observada acentuada quantidade de células marcadas na maior parte das amostras. Quanto à MMP-2, não houve diferença de imunomarcação nas células epiteliais acinares e estromais periacinares entre as amostras de tecido mamário canino normais e neoplásicas, sendo que a maioria apresentou discreta intensidade de imunomarcação e discreto número de células marcadas (Tabela 1).

A intensidade de imunomarcação de TIMP-1 foi maior nas células estromais periacinares do tecido mamário normal (p<0,05) em relação aos carcinomas complexos. A imunomarcação de TIMP-1 ocorreu no epitélio acinar, nos fibroblastos periacinares e nas células inflamatórias (linfócitos) em todas as amostras. Para TIMP-2, a intensidade de imunomarcação nas células epiteliais acinares foi maior (p<0,05) nos carcinomas tubolopapilares em relação à mama normal (Tabela 2).

Houve correlação positiva entre MMP-9 e TIMP-1 nas glândulas mamárias normais quanto à intensidade de imunomarcação nas células epiteliais (r=0.5552 / p=0.0136) e estromais (r=0.4708 / p=0.0362), bem como quanto ao número de células epiteliais (r=0.4720 / p=0.0356) e estromais (r=0.5259 / p=0.0207) imunomarcadas. Houve ainda forte correlação positiva entre MMP-9 e TIMP-2 quanto à intensidade de imunomarcação nas células epiteliais do carcinoma tubulopapilar (r=0.7531 / p=0.0098).


Discussão


Estudos sobre comportamento biológico tumoral têm focado a atenção no tecido estromal, sendo considerável seu papel na tumorigênese, invasão tumoral e formação de metástases(29, 30). As MMP e TIMP desempenham papel importante nesse mecanismo, por participar do processo de degradação estromal e dos componentes da membrana basal, facilitando a disseminação das células neoplásicas(31).

Em relação a MMP-9, houve diferença entre o tecido mamário normal e o neoplásico maligno, sugerindo o envolvimento dessa enzima no desenvolvimento do câncer mamário canino. De forma semelhante, Hirayama et al.(25) e Kawae et al.(24) demonstraram maior imunomarcação de MMP-9 nos carcinomas. Destaca-se que Gramulia et al.(33) relatam padrão citoplasmático difuso ou granular da MMP-9 nos carcinomas, o que também foi observado nesta pesquisa. Além disso, Loukopoulos et al.(32) descreveram acentuada imunomarcação dessa enzima em carcinomas, o que reitera a importância do seu aumento no tecido mamário canino com proliferações malignas, podendo essa condição estar relacionada ao processo de invasão tecidual pelas células neoplásicas. Nesse sentido, pondera-se que a MMP-9 é importante no desenvolvimento neoplásico, porém, seu perfil de imunomarcação é variável.

Na avaliação do número de células epiteliais e estromais marcadas para MMP-9 não foi constatada diferença entre os grupos, o que está de acordo com os achados de Pellikainen et al.(34) e Aresu et al.(26). Porém, à semelhança do observado nesta pesquisa, esses autores descrevem certo grau de imunomarcação citoplasmática de MMP-9 nas células epiteliais e estromais normais, bem como nas epiteliais neoplásicas. Com isso, pondera-se a intensidade de imunomarcação como valiosa ferramenta de avaliação para MMP-9 em comparação ao número de células marcadas, especialmente quando se consideram células neoplásicas malignas, já que estas comumente possuem heterogeneidade gênica(35,36) e capacidade de expansão clonal(37,38), o que possibilita a proliferação de células com grande capacidade de síntese de MMP-9, permitindo maior degradação da membrana basal (MB) e MEC e facilitando a invasão tumoral.

Nos tumores mamários caninos a atividade das MMP é associada principalmente à malignidade(26,39). Santos et al.(40) concluíram que MMP-9 e Ki-67 são marcadores independentes de prognóstico em tumores mamários malignos, sugerindo que a elevada imunoexpressão da MMP no pós-operatório em tumores malignos agressivos possa ser estudada como alvo terapêutico. Já Yokta et al.(41) concluíram que as concentrações dessa MMP pode ser de quatro a 26 vezes maior em carcinomas mamários caninos do que no tecido mamário normal. Os resultados deste estudo corroboram essa hipótese, principalmente no que tange a expressão de MMP-9, que foi mais acentuada nas células epiteliais e estromais dos carcinomas complexo e tubulopapilar do que na glândula mamária normal.

Na avaliação da imunomarcação da MMP-2 não foi observada diferença entre as amostras avaliadas em relação à intensidade e número de células epiteliais e estromais imunomarcadas. Ao contrário, Aresu et al.(26) demonstraram elevados níveis de pró-MMP-2 e MMP-2 pelos métodos de zimografia e imunoistoquímica, respectivamente, nos carcinomas em comparação aos adenomas mamários de cadelas. Contudo, os autores do estudo não fazem distinção quanto ao tipo histomorfológico, avaliando em conjunto as diferentes amostras com diagnóstico de carcinoma. Dessa forma, a ausência de diferença estatística no presente estudo pode ser atribuída aos tipos tumorais avaliados, que podem sofrer menor influência da MMP-2 em comparação a MMP-9, que exibiu maior intensidade de imunomarcação nos carcinomas.

De acordo com Pellikainen et al.(34), a imunoexpressão de MP-1 e TIMP-2 nos tecidos contribui para a ativação e regulação da MMP-2 e pode alterar sua participação nos diferentes processos neoplásicos. Papparella et al.(39) descrevem a imunomarcação de MMP-2 nas células epiteliais normais e neoplásicas, assim como nas estromais, conforme observado neste estudo.

Menor intensidade de imunomarcação de TIMP-1 foi observada nas células estromais periacinares do carcinoma complexo em relação à mama normal. Em contrapartida, Aresu et al.(26) não descrevem diferença na imunomarcação de TIMP-1 entre tecido mamário canino normal e neoplásico. Já Kawai et al.(24) demonstraram maior imunoexpressão dessa proteína nos carcinomas, seguidos dos adenomas e mama normal. Em humanos, TIMP-1 é descrito como um inibidor da invasão de células de tumorais e de metástases. A título de exemplo, Nakopoulou et al.(42), avaliando a expressão imunoistoquímica de TIMP-1 em 133 carcinomas infiltrativos de mama de mulheres, observaram imunomarcação aumentada nas células cancerosas em 60,15% dos casos, sendo inversamente relacionada ao grau histológico, inversamente proporcional à proliferação celular, e sua superexpressão nas células neoplásicas um fator determinante para o prognóstico favorável em mulheres. Com isso, neste estudo, a redução da imunomarcação de TIMP-1 e a ausência de diferença de TIMP-2 no carcinoma complexo podem indicar maior degradação da MEC e progressão tumoral no referido tipo histomorfológico.

Ao avaliar a intensidade de imunomarcação da TIMP-2 em relação ao diagnóstico foi observada maior imunomarcação nas células epiteliais do carcinoma tubulopapilar em relação àquelas da mama normal. O aumento da imunoexpressão das TIMP ainda é controverso. Uma vez que a TIMP-2 inibe a atividade das MMP, espera-se que frente a níveis elevados desse inibidor não ocorra a progressão tumoral o que, portanto, implica em melhor prognóstico para pacientes com neoplasias(13). Contudo, evidências sugerem que TIMP são proteínas multifuncionais que, em adição ao seu efeito inibitório das MMP, também promovem a proliferação de alguns tipos celulares, e seus efeitos antiapoptóticos podem favorecer o crescimento inicial do tumor primário(44).

Em mulheres, o aumento da imunoexpressão do TIMP-2 também é correlacionado a maior agressividade tumoral e pior prognóstico(16, 44). Nesse contexto, sugere-se que a maior intensidade de TIMP-2 no carcinoma tubulopapilar possa estar relacionada tanto à inibição da atividade das MMP, como à promoção do crescimento tumoral e degradação da MEC. Entretanto, a ação proliferativa da TIMP-2 juntamente a ação proteolítica da MMP-9 pode sobrepor a ação inibitória da TIMP-2 e, com isso, representar evolução e invasão tumoral, já que houve correlação positiva entre essas proteínas. Ainda, a imunomarcação significativa restrita ao carcinoma tubulopapilar sugere a relação da TIMP-2 a este tipo histomorfológico, assim como ocorre em humanos, onde o aumento dessa proteína tem sido associado ao tipo histológico ductal(45,46).

Diante dos resultados é possível inferir que o equilíbrio entre as metaloproteinases e seus inibidores na mama canina normal compreende condição fundamental à manutenção da homeostase, já que somente correlação positiva entre MMP-9 e TIMP-1 foi observada no tecido mamário normal. Dessa forma, à luz desses resultados, pondera-se que a imunomarcação aumentada de TIMP e MMP, em especial de MMP-9 e TIMP-2, pode compor fator importante na evolução tumoral e ocorrência de invasão tecidual em relação aos carcinomas tubulopapilar e complexo nas cadelas.


Conclusão


A atividade equilibrada entre MMP-9, MMP-2, TIMP-1 e TIMP-2 mantém a homeostase do tecido mamário canino normal, enquanto a imunoexpressão aumentada de MMP-9 e TIMP-2 e a imunoexpressão reduzida de TIMP-1 nos carcinomas sugerem condição propícia à evolução e invasão tumoral. Ainda, a concentração tecidual das MMP e seus inibidores na mama das cadelas varia de acordo com o tipo tumoral, o grau de malignidade e as células neoplásicas e estromais adjacentes, o que pode revelar um pouco mais sobre o comportamento de cada tipo neoplásico e auxiliar estudos futuros em relação a diagnóstico, tratamento e prognóstico.


Referências


1. MOE L. Population‐based incidence of mammary tumours in some dogs breeds. Journal Reprodutive Fertil Supplement. 2001; 57:439-443

2. Goldschmidt MH, Peña L, Zappulli V. Tumors of the Mammary Gland. In: Meuten, D. J. Tumors in Domestic Animals. 5º ed. Ames, John Wiley & Sons, Inc; 2017, cap. 17, p. 723-765

3. Massagué J, Obenauf AC. Metastatic Colonization. Nature. 2016; 529(7586):298-306

4. Willins AL, Sabeh F, Li X, Weiss SJ. Extracellular matrix determinants and the regulation of cancer cell invasion stratagems. Journal of Microscopy. 2013; 251(3):250-560. Disponível em: https://doi.org/10.1111/jmi.12064

5. Simpson CD, Anyiwe K, Schimmer AD. Anoikis resistance and tumor metastasis. Cancer lett. 2008; 272(2):177-85. Disponível em: https://doi.org/10.1016/j.canlet.2008.05.029

6. Kaushik S, Pickup MW, Weaver VM. From transformation to metastasis: deconstructing the extracellular matrix in breast câncer. Cancer Metastasis Rev. 2016; 35(4):655-667. Disponível em: https://doi.org/10.1007/s10555-016-9650-0

7. Kelley LC, Lohmer LL, Hagedorn EJ, Sherwood DR. Traversing the basement membrane in vivo: A diversity of strategies. J Cell Biol. 2014; 204(3):291-302. Disponível em: https://doi.org/10.1083/jcb.201311112

8. Holanda AON, Oliveira ARS, Cruz KJC, Severo JS, Morais JBS, Silva BB, Marreiro DN. Zinc and metalloproteinases 2 and 9: What is their relation with breast cancer?. Rev. Assoc. Med. Bras. 2017; 63(1):78-84. Disponível em: https://doi.org/10.1590/1806-9282.63.01.78

9. Davies KJ. The Complex Interaction of Matrix Metalloproteinases in the Migration of Cancer Cells through Breast Tissue Stroma. Int J Breast Cancer. 2014: 839094. Disponível em: http://dx.doi.org/10.1155/2014/839094

10. Groblewska M, Siewko M, Mroczko B, Szmitkowski M. The role of matrix metalloproteinases (MMPs) and their inhibitors (TIMPs) in the development of esophageal cancer. Folia Histochem Cytobiol. 2012; 50(1):12-9

11. Jabłońska-Trypuć A, Matejczyk M, Rosochacki S. Matrix metalloproteinases (MMPs), the main extracellular matrix (ECM) enzymes in collagen degradation, as a target for anticancer drugs. J Enzyme Inhib Med Chem. 2016; 31(1):177-183. Disponível em: http:// http://dx.doi.org/10.3109/14756366.2016.1161620

12. Radisky ES, Radisky DC. Matrix metalloproteinases as breast cancer drivers and therapeutic targets. Front Biosci (Landmark Ed). 2015; 20:1144-1163. Disponível em: https://www.ncbi.nlm.nih.gov/pmc/articles/PMC4516284/

13. Bourboulia D, Stetler-Stevenson WG. Matrix metalloproteinases (MMPs) and tissue inhibitors of metalloproteinases (TIMPs): Positive and negative regulators in tumor cell adhesion. Seminars in Cancer Biology. 2010; 20(3):161-168. Disponível em: https://doi.org/10.1016/j.semcancer.2010.05.002

14. Kruidenier L, Macdonald TT, Collins JE, Pender SLF, Sanderson IR. Myofibroblast Matrix Metalloproteinases Activate the Neutrophil Chemoattractant CXCL7 From Intestinal Epithelial Cells. GASTROENTEROLOGY. 2006;130(1):127–136. Disponível em: https://doi.org/10.1053/j.gastro.2005.09.032

15. Solé S, Petegnief V, Gorina R, Chamorro A, Planas AM. Activation of Matrix Metalloproteinase-3 and Agrin Cleavage in Cerebral Ischemia/Reperfusion. Journal of Neuropathology and Experimental Neurology. 2004; 63(4): 338 349

16. Brew K, Nagase H. The tissue inhibitors of metalloproteinases (TIMPs): An ancient family with structural and functional diversity. Biochimica et Biophysica Acta. 2010; 803(1):55-7. Disponível em: https://doi.org/10.1016/j.bbamcr.2010.01.003

17. Jinga DC, Blidaru A, Condrea I, Ardeleanu C, Dragomir C, Stefanescu M, Matache C. MMP-9 and MMP-2 gelatinases and TIMP-1 and TIMP-2 inhibitors in breast cancer: correlations with prognostic factors. J Cell Mol Med. 2006; 10(2):499-510. Disponível em: https://doi.org/10.1111/j.1582-4934.2006.tb00415.x

18. Li H, Qiu Z, Li F, Wang C. The relationship between MMP-2 and MMP-9 expression levels with breast cancer incidence and prognosis. Oncol Lett. 2017; 14(5):5865-5870. Disponível em:  https://doi.org/10.3892/ol.2017.6924

19. Bonnans C, Chou J, Werb Z. Remodelling the extracellular matrix in development and disease. Nat Rev Mol Cell Biol. 2014;15(12):786-801. Disponível em: https://doi.org/10.1038/nrm3904

20. Yang B, Tang F, Zhang B, Zhao Y, Feng J, Rao Z. Matrix metalloproteinase-9 overexpression is closely related to poor prognosis in patients with colon câncer. World J Surg Oncol. 2014; 12(24):1-6. Disponível em: https://doi.org/10.1186/1477-7819-12-24

21. Rojiani MV, Alidina J, Esposito N, Rojiani AM. Expression of MMP-2 correlates with increased angiogenesis in CNS metastasis of lung carcinoma. Int J Clin Exp Pathol. 2010;3(8):775-781. Disponível em: https://www.ncbi.nlm.nih.gov/pmc/articles/PMC2993228/

22. Manshadi ZD, Hamid M, Kosari F, Tayebinia H, Khodadadi I. The Relationship between Matrix Metalloproteinase Gene Polymorphisms and Tumor Type, Tumor Size, and Metastasis in Women with Breast Cancer in Central Iran. Middle East Journal of Cancer. 2018; 2(9):123-131.

23. Doyle DM, Miller KD. Development of new targeted therapies for breast cancer. Breast Cancer. 2008; 15(1):49-56. Disponível em: https://doi.org/10.1007/s12282-007-0003-2

24. Kawai K, Uetsuka K, Doi K, Nakayama H. The activity of matrix metalloproteinase (MMPs) and tissue inhibitors of metalloproteinases (TIMPs) in mammary tumors of dogs and rats. Journal of Veterinery Medical Science. 2006, 68(2):105-111

25. Hirayama K, Yokota H, Onai R, Kobayashi T, Kumata T, Kihara K, Okamoto M, Sako T, Nakade T, Izumisa Y, Taniyama H. Detection of matrix metalloproteinases in canine mammary tumours: analysis by immunohistochemistry and zymography. Journal of Comparative Pathology. 2002; 127:249-256. Disponível em: https://doi.org/10.1053/jcpa.2002.0590

26. Aresu L, Giantin M, Morello E, Vascellari M, Astagnaro M, Lopparelli R, Zancanella V, Granato A, Arico A, Bradaschia A, Mutinelli F, Dacasto M. Matrix metalloproteinases and their inhibitors in canine mammary tumors. BMC Vet Res. 2011; 7(33). Disponível em: https://doi.org/10.1186/1746-6148-7-33

27. Wu ZS, Wu Q, Yang JH, Wang HQ, Ding XD, Yang F, Xu XC. Prognostic significance of MMP-9 and TIMP-1 serum and tissue expression in breast cancer. Int J Cancer. 2008; 122(9):2050-6. Disponível em: https://doi.org/10.1002/ijc.23337

28. Bubendorf L, Nocito A, Moch H, Sauter G. Tissue microarray (TMA) technology: miniaturized pathology archives for high-throughput in situ studies. Journal of Pathology. 2001; 195(1):72-79. Disponível em: https://doi.org/10.1002/path.893

29. Majidinia M, Yousefi B. Breast tumor stroma: A driving force in the development of resistance to therapies. Chem Biol Drug Des. 2017; 89(3):309-318. Disponível em: https://doi.org/10.1111/cbdd.12893

30. Khamis ZI, Sahab ZJ, Sang QA. Active Roles of Tumor Stroma in Breast Cancer Metastasis. Int J Breast Cancer. 2012: 574025. Disponivel em: http://dx.doi.org/10.1155/2012/574025

31. Kessenbrock K, Plaks V, Werb X. Matrix Metalloproteinases: Regulators of the Tumor Microenvironment. Cell. 2010; 141(1):52-67. Disponível em: https://doi.org/10.1016/j.cell.2010.03.015

32. Loukopoulos P, Mungall BA, Straw RC, Thornton JR, Forbinson WF. Matrix Metalloproteinase-2 and -9 Involvement in Canine Tumors. Veterinary Pathology. 2003; 40(4):382-394. Disponível em: https://doi.org/10.1354/vp.40-4-382

33. Gramulia BC, Pulz LH, Mota EFF, Fukumasu H, Strefezzi RF. Matrix metalloproteinase 9 expression in canine mammary carcinomas. Brazilian Journal of Veterinary Pathology 2016; 9(2),:55 – 61

34. Pellikainen JM, Ropponen KM, Kataja VV, Kellokoski JK, Eskelinen MJ, Kosma VM. Expression of matrix metalloproteinase (MMP)-2 and MMP-9 in breast cancer with a special reference to activator protein-2, HER2, and prognosis. Clinical Cancer Research. 2004; 10(22):7621-7628. Disponível em: https://doi.org/10.1158/1078-0432.CCR-04-1061

35. Zhang X, Jin G, Li J, Zhang L. Association between Four MMP-9 Polymorphisms and Breast Cancer Risk: A Meta-Analysis. 2015. Medical science monitor : international medical journal of experimental and clinical research. 2015; 21:1115–1123. Disponível em: https://www.ncbi.nlm.nih.gov/pmc/articles/PMC4413812/

36. Yousef EM, Tahir MR, Pierre-St Y, Gaboury LA. MMP-9 expression varies according to molecular subtypes of breast câncer. BMC Cancer 14. 2014; 609. Disponível em: https://doi.org/10.1186/1471-2407-14-609

37. Scott K, Arnott C, Robinson S, Morre RJ, Thompson RG, Marshall JF, Balkwill FR. TNF-α regulates epithelial expression of MMP-9 and integrin αvβ6 during tumour promotion. A role for TNF-α in keratinocyte migration?. Oncogene. 2004; 23; 6954–6966 (2004). Disponível em: https://doi.org/10.1038/sj.onc.1207915

38. Festuccia C, Bologna M, Vicentini C, Tacconelli A, Miano R, Violini S, Mackay AR. Increased matrix metalloproteinase‐9 secretion in short‐term tissue cultures of prostatic tumor cells. International Jounal of Cancer. 1996; 69;386-393, Disponível em: https://doi.org/10.1002/(SICI)1097-0215(19961021)69:5<386::AID-IJC6>3.0.CO;2-1

39. Papparella S, Restucci B, Paciello O, Maiolino P. Expression of matrix metalloprotease-2 (MMP-2) and the activator membrane type 1 (MT1- MMP) in canine mammary carcinomas. Journal of Comparative Pathology. 2002; 126(4):271-276. Disponível em: https://doi.org/10.1053/jcpa.2002.0552

40. Santos AA, Lopes CC, Ribeiro JR, Martins LR, Santos JC, Amorim IF, Gartner F, Matos AJ. Identification of prognostic factors in canine mammary malignant tumours: a multivariable survival study. BMC Veterinary Research 2013, 9(1):1-11. Disponível em: https://doi.org/10.1186/1746-6148-9-1

41. Yokota H, Kumata T, Taketaba S, Kobayashi T, Moue H, Taniyama H, Hirayama K, Kagawa Y, Itoh N, Fujita O, Nakade T, Yuasa A. High expression of 92 kDa type IV collagenase (matrix metalloproteinase-9) in canine mammary adenocarcinoma. Biochimica et Biophysica Acta. 2001; 1568(1):7-12. Disponível em: https://doi.org/10.1016/S0304-4165(01)00192-1

42. Nakopoulou L, Giannopoilou I, Lazaris AC, Alexandrou P, Tsirmpa I, Markaki S, Panayotopoulou E, Keramopoulos A. The favorable prognostic impact of tissue inhibitor of matrix metalloproteinases-1 protein overexpression in breast cancer cells. Acta Pathologica, Microbiologica et Immunologica Scandinavica. 2003; 111(11):1027-1036. Disponível em: https://doi.org/10.1111/j.1600-0463.2003.apm1111105.x

43. Wurtz SO, Schrohl AS, Sorensen NM, Lademann U, Christensen IJ, Mouridsen H, Brunner N. Tissue inhibitor of metalloproteinases-1 in breast cancer. Endocrine-Related Cancer. 2005, 12(2):215-227. Disponível em: https://doi.org/10.1677/erc.1.00719

44. Vizoso FJ, González LO, Corte MD, Rodríguez JC, Vázquez J, Lamelas ML, Junquera S, Merino AM, García-Muñis JL. Study of matrix metalloproteinases and their inhibitors in breast cancer. British Journal of Cancer. 2007; 96(6):903-911. Disponível em: https://www.nature.com/articles/6603666

45. Jobim FC, Xavier NL, Uchoa DM, Cruz DB, Saciloto M, Chemello N, Schwartsmann G. Prevalence of vascular-endothelial growth factor, matrix metalloproteinases and tissue inhibitors of metalloproteinases in primary breast cancer. Brazilian Journal of Medical and Biological Research. 2009; 42:979-987. Disponível em: http://dx.doi.org/10.1590/S0100-879X2009005000016

46. Têtu B, Brisson J, Wang CS, Lapointe H, Beaudry G, Blanchette C, Trudel D. The influence of MMP-14, TIMP-2 and MMP-2 expression on breast cancer prognosis. Breast Cancer Research. 2006; 8(3):1-28. Disponível em: https://doi.org/10.1186/bcr1503