AVALIAÇÃO DOS EFEITOS DA FLUNIXINA MEGLUMINA, POR VIA SUBCONJUNTIVAL, SOBRE A CONCENTRAÇÃO E PADRÃO PROTEICO DO HUMOR AQUOSO DE CÃES SUBMETIDOS À  PARACENTESE DA CÂMARA ANTERIOR


Paula Diniz Galera,1 José Luiz Laus,2 Ana Maria Barros Soares,3 Cassio Ricardo Ribeiro4 e Francislete Rodrigues Melo5

1. MV, MSc, PhD. Professor adjunto III, Cirurgia de Pequenos Animais, Faculdade de Agronomia e Medicina Veterinária da
Universidade de Brasília. E-mail: paulaeye@unb.br
2. MV, MSc, PhD. Professor titular, Departamento de Clínica e Cirurgia Veterinária, Faculdade de Ciências Agrárias e Veterinárias, UNES
3. MV, MSc, PhD. Professora adjunta, Departamento de Clínica Médica de Pequenos Animais, Faculdade de Veterinária, UFF
4. MV, MSc, PhD.  Pós-doutorando do Instituto de Ciências Biológicas da Universidade de Brasília
5. União Pioneira de Integração Social
6. Bióloga. MSc. PhD em Bioquímica. Professor do Curso de Agronomia e Medicina Veterinária da UPIS.




RESUMO

Avaliaram-se os efeitos da flunixina meglumina, pela via subconjuntival, sobre as proteínas do humor aquoso de olhos de cães submetidos à paracentese da câmara anterior. Dez animais adultos, clinicamente sadios, receberam, por aplicação subconjuntival, flunixina meglumina (1,1mg/kg) no olho direito e solução salina estéril a 0,9% no olho esquerdo, em igual volume. Mediante anestesia geral, foram submetidos a duas paracenteses de ambos os olhos para coleta de 0,2mL de aquoso primário e secundário, respectivamente. As amostras foram submetidas ao Teste de Bradford, cujas concentrações proteicas (média e desvio-padrão) obtidas foram de 15,98mg/dL ± 4,48 e 11,46mg/dL ± 2,72 para os olhos direito e esquerdo, respectivamente, na primeira paracentese, e de 119,8mg/dL ± 6,74 e 120,63mg/dL ± 22,4, para olhos direito e esquerdo, na segunda paracentese. Não houve diferença estatisticamente significativa entre os valores proteicos dos olhos tratados comparativamente aos seus controles. Quando comparadas as concentrações proteicas entre a primeira e segunda paracentese de olhos direito e esquerdo, observou-se diferença estatisticamente significativa entre esses dois momentos (p<0,001). A eletroforese em gel de poliacrilamida (SDS-PAGE) mostrou diferenças no padrão proteico do humor aquoso decorrente da primeira e da segunda paracentese.

PALAVRAS-CHAVES: Flunixina meglumina, humor aquoso, olho, paracentese, proteínas.

ABSTRACT

EFFECTS OF FLUNIXIN MEGLUMINE CONJUNCTIVAL SHOT OVER THE HUMOR AQUEOUS PROTEIN OF DOGS SUBMITTED TO THE PARACENTESIS OF THE ANTERIOR CHAMBER

Flunixin meglumine effects, over aqueous humor proteins of eyes on dogs who were submitted to paracentesis of the anterior chamber, were evaluated. To ten adult dogs clinically healthy were given a subconjunctival shot with flunixin meglumine (1.1mg/Kg) on the right eye and sterilized saline solution 0.9% on the left eye, with the same volume. After general anesthesia, were submitted to two paracentesis of the both eyes to collect 0.2mL of first and second aqueous. The samples were submitted to Bradford test, wich proteins concentrations were  15.98mg/dL ± 4.48 e 11.46mg/dL ± 2.72 for the right and the left eyes, respectively, on the first paracentesis and 119.8mg/dL ± 6.74 e 120.63mg/dL ± 22.4 for the right and the left eyes, on the second paracentesis. There was no significant statistically differences between the protein values of the treated eyes in comparison with the control one. When compared, the proteins concentrations between the first and second paracentesis of the right and left eyes, statistic differences were found between these two moments (p<0.001). SDS-PAGE showed differences in the protein patterns of aqueous humor in result of the paracentesis.

KEY WORDS: Aqueous humor, eye, flunixin meglumine, paracentesis, proteíns.


INTRODUÇÃO

Diferenças na composição entre o sangue e o humor aquoso devem-se à barreira mecânica entre estes líquidos corpóreos, conferida pelo epitélio e endotélio da barreira hematoaquosa e ao transporte ativo de substâncias orgânicas e inorgânicas pelo epitélio ciliar. Mediante essa proteção, compreende-se a razão da baixa concentração de proteínas no humor aquoso, comparativamente ao plasma (KAUFMAN, 1993; GUM et al., 2007). Foram estabelecidas como normais as concentrações proteicas de 39,33mg/dL no humor aquoso de cão. Posteriormente, técnicas em microeletroforese do humor aquoso mostraram concentrações proteicas médias de 36,4 a 37,4 mg/dL (BLOGG & COLES,1971; HAZEL et al.,1985). A cirurgia intraocular e a paracentese da câmara anterior elevam a quantidade de proteína do humor aquoso em muitas espécies, atribuída à dilatação dos vasos da íris e do corpo ciliar, bem como ao aumento da permeabilidade da barreira hematoaquosa (KREMER et al., 1982) e extravasamento de proteína sérica para o humor aquoso secundário (GUM et al., 2007).
Muitos estudos sobre o humor aquoso de olhos cursando com inflamação foram desenvolvidos (GIULIANO, 2004). Não obstante a não coincidência de resultados, em todos se verifica que as concentrações proteicas do humor aquoso aumentam proporcionalmente à magnitude da inflamação, tornando mais próximas as frações proteicas desse líquido com as do plasma (BLOGG & COLES, 1971). Demonstrou-se a relação de causa e efeito entre a liberação de prostaglandinas e o subsequente aumento de proteínas do humor aquoso (KROHNE & VESTRE, 1987) e que ambas podem ter reduzidas a sua liberação para a câmara anterior diante da ação deProtocolado em: 20 fev. 2009.   Aceito em: 1º jun. 2009. anti-inflamatórios não esteroidais (WARD et al., 1992), tais como o ácido acetilsalicílico (ZIMMERMAN et al., 1975; AL-GHADYAN et al., 1979), a indometacina, a fenilbutazona, a flunixina meglumina, o acetilsalicilato de lisina (REGNIER et al., 1984), o diclofenaco, o flurbiprofen, o cetoprofeno (KULKARNI & SRINIVASAN, 1985) e a flunixina meglumina por via intravenosa (REGNIER, 2002). Todavia, mediante os reconhecidos efeitos colaterais dos anti-inflamatórios não esteroidais (GIULIANO, 2004), estudos quanto às dosagens, vias de aplicação e espécies animais têm sido desenvolvidos visando minimizar tais intercorrências (LEES & HIGGINS, 1984).
O pré-tratamento com agentes não esteroidais aplicados por via tópica ocular reduz as concentrações proteicas do humor aquoso, bem como a pressão intraocular (REGNIER et al, 1984). A flunixina meglumina foi testada experimentalmente quanto à manutenção da integridade da barreira hematoaquosa por via subconjuntival em equinos (COOLEY et al., 1984) e, em cães, somente por via intravenosa (KROHNE & VESTRE, 1987).
Diante das propriedades farmacológicas da flunixina meglumina pela via intravenosa no controle da inflamação ocular (WILKIE & COLLINS, 2007) e da redução nas concentrações de proteínas do humor aquoso, concebeu-se testá-lo pela via subconjuntival, por se admitir que concentrações oculares mais elevadas do fármaco seriam atingidas (mathis, 1999; slatter, 2001). Da hipótese de que a otimização de níveis terapêuticos oculares seria obtida, concebeu-se este estudo, visando sua confirmação mediante mensuração das proteínas do humor aquoso, antes e após paracentese. Ainda, objetivou-se determinar o peso molecular das proteínas encontradas neste fluido.

MATERIAL E MÉTODOS

Animais
Empregaram-se dez cães, sem raça definida, machos ou fêmeas, adultos, clinicamente sadios, com peso médio de 10 kg. Para a sua seleção, eles foram submetidos a exame físico, a hemograma completo e bioquímica sérica (alanina-amino-transferase, aspartato aminotransferase, ureia, creatinina e gama glutamil transferase) para caracterização de condição orgânica. Com os mesmos objetivos, estes foram, ainda, submetidos ao teste da lágrima de Schirmer-1 (TLS-1), coloração com fluoresceína, biomicroscopia com lâmpada de fenda, aferição da pressão intraocular pela tonometria de aplanação. Selecionados, os animais hígidos foram mantidos em canis individuais apropriados, com alimentação adequada e água ad libitum.

Protocolo terapêutico
Administrou-se flunixina meglumina, na dose de 1,1mg/kg de peso corpóreo, por via subconjuntival, em conjuntiva bulbar temporal superior, no olho direito, não excedendo 0,5 mL de volume final. O olho contralateral constituiu-se em controle, recebendo volume idêntico de solução salina estéril a 0,9%. Para tanto, utilizou-se seringa de 1,0 mL acoplada à agulha calibre 25 x 7.

Paracentese da câmara anterior
Os animais foram submetidos à medicação pré–anestésica com levomepromazina, na dose de 1,0mg/kg, por via intravenosa. Decorridos dez minutos, procedeu-se à anestesia geral barbitúrica, com tiopental sódico, na dose média de 12,5mg/kg, em administração lenta. O plano anestésico cirúrgico foi mantido durante todo o protocolo experimental com reaplicação do anestésico, quando necessário. Imediatamente após a aplicação da flunixina meglumina, foi instilado colírio anestésico e coletou-se humor aquoso primário, em volume de 0,2mL, por paracentese da câmara anterior, de ambos os olhos. Decorridos trinta minutos da administração do fármaco, procedeu-se a uma nova paracentese da câmara anterior dos olhos direito e esquerdo, para coleta de igual volume de humor aquoso (secundário). A técnica utilizada propiciou acesso pela região perilímbica temporal superior, utilizando-se agulha de 25 x 7 e seringa de 1.0mL. Acondicionaram-se as amostras de humor aquoso em tubos Vacutainer® sem anticoagulante e, ato contínuo, foram centrifugadas a 3500rpm durante quinze minutos. Após separação do precipitado, estocou-se o sobrenadante em temperatura de 200C negativos, até o momento das análises.

Análise proteica do humor aquoso
Após descongelamento à temperatura ambiente, procedeu-se à mensuração da concentração proteica do humor aquoso mediante o Teste de Bradford (BRADFORD, 1976). Essa técnica baseia-se na adição de um corante (Coomassie Blue) em meio ácido à solução com proteína. A ligação da proteína a este corante produz uma variação no comprimento de onda, que é medido na absorbância a 595nm em um espectrofotômetro.
Trataram-se os valores obtidos estatisticamente pela Análise de Variância e pelo Teste de Tukey. Posteriormente, as amostras proteicas foram precipitadas com ácido tricloroacético (TCA), para obtenção de amostras concentradas, e submetidas à eletroforese em sistema vertical em gel de poliacrilamida contendo dodecil sulfato de sódio (SDS-PAGE), para observação do padrão proteico (LAEMMLI, 1970).

RESULTADOS E DISCUSSÃO

As concentrações proteicas (média e desviopadrão) obtidas das amostras da primeira paracentese foram de 15,98mg/dL ± 4,48 e 11,46mg/dL ± 2,72 para os olhos direito e esquerdo, respectivamente (Tabela 1). A literatura mostra grande diversidade nos valores dos níveis proteicos do humor aquoso de cães saudáveis (BRITO et al., 2006; RIBEIRO, 2007). Blogg & Coles (1971) citaram variações, segundo distintos autores, como 39,33mg/dL, 15mg/dL, enquanto, em seus estudos, descrevem valores médios de 37,4mg/dL. Hazel et al. (1985) referiram-se a 36,4mg/dL como valores-padrão do humor aquoso. Admite-se que as razões pelas quais as concentrações de proteínas encontradas neste estudo foram inferiores aos valores da maioria dos relatos decorram das variações quanto ao método de mensuração e ao processamento das amostras. Para que estudos comparativos possam ser realizados, verifica-se a necessidade da padronização de uma técnica de mensuração proteica que permita repetibilidade e, dessa forma, confiabilidade de resultados.
No humor aquoso secundário obtiveram-se concentrações de 119,8mg/dL ± 6,74 e 120,63mg/dL ± 22,4, para olhos direito e esquerdo) (Tabela 1). Não houve diferença estatisticamente significativa entre as concentrações proteicas obtidas dos olhos direitos, comparativamente àqueles dos olhos esquerdos, seja no humor aquoso primário, seja no secundário (p>0,1). No entanto, quando comparadas as concentrações proteicas entre a primeira e segunda paracentese de olhos direito e esquerdo, observaram-se diferenças estatisticamente significativas entre os dois momentos (p<0,001). Alguns autores relatam que as proteínas do aquoso plasmoide podem se elevar em até cinquenta vezes decorridos quinze minutos de uma paracentese da câmara anterior no cão (REGNIER et al., 1984), proporção superior à encontrada neste estudo. Nas cirurgias intraoculares, valores entre 600 e 2.500mg/dL podem ser alcançados (KROHNE & VESTRE, 1987). Variações quanto ao intervalo de tempo entre duas paracenteses e o volume de aquoso extraído, entretanto, parecem exercer pouca ou nenhuma influência sobre as concentrações proteicas atingidas no plasmoide secundário (REGNIER et al., 1984).
Deve-se ressaltar que a ação da flunixina meglumina dá-se por inibição da liberação de prostaglandinas (SHIELS et al., 1999; PAPICH, 2008), e que tais substâncias atuam parcialmente sobre a barreira hematoaquosa (BRIGHTMAN et al., 1981; REGNIER et al., 1984); entretanto, não são as únicas envolvidas neste processo. Considera-se que outros mediadores estejam envolvidos, todavia não há, ainda, comprovação no cão (MILLICHAMP & DZIEZYC, 1991).
A paracentese da câmara anterior com a agulha de calibre 25x7 tem sido referida como a indutora da desestabilização da barreira hematoaquosa (REGNIER et al., 1984; HAZEL et al., 1985; KROHNE & VESTRE, 1987) e resultante alteração da permeabilidade vascular (ZIMMERMAN et al., 1975; ROZE et al., 1996; SHIELS et al., 1999). Não obstante a recomendação da utilização de anti-inflamatórios não esteroidais no tratamento da uveíte em pequenos animais, muito há por ser esclarecido (MATHIS, 1999). O emprego crescente de substâncias, valendo-se da via tópica em oftalmologia, tem sido verificado, sem estudos controlados (MEALEY, 2000). Alguns fármacos, potentes inibidores das prostaglandinas, podem ser considerados efetivos no tratamento da inflamação ocular (PAPICH, 2008). Muito embora sejam relatados os efeitos da flunixina meglumina sobre a prevenção ou o tratamento das uveítes (GIULIANO, 2004; WILKIE & COLLINS, 2007), valores obtidos na segunda paracentese não diferiram estatisticamente entre os olhos tratados pela flunixina meglumina e os não tratados.
Como hipótese adicional para os eventos, pode-se admitir que na ocasião das coletas não se tenham atingido, ainda, concentrações do fármaco no humor aquoso suficientes para obstar ou reduzir a liberação de proteínas. A farmacocinética da flunixina meglumina, por essa via, não foi ainda estabelecida. O tempo entre a aplicação da substância e a paracentese foi estabelecido empiricamente, uma vez que a literatura não estabelece regras. Estudo da farmacocinética de qualquer substância no humor aquoso empreita complexidade, por implicar coletas subsequentes o que, de per si, modifica o meio, resultando em alteração qualitativa do humor aquoso (ROZE et al., 1996).
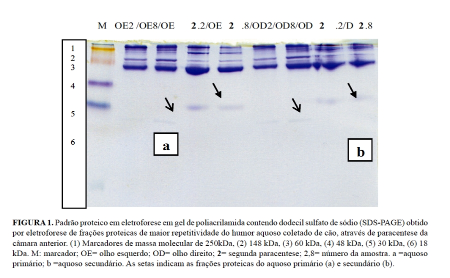
Relativamente à eletroforese em gel, a existência de uma banda proteica na primeira paracentese (humor aquoso primário) não observada na segunda paracentese, bem como o aparecimento de uma banda proteica de maior peso molecular nesta última (Figura 1) podem sugerir a presença de proteínas de maior peso molecular no humor aquoso secundário, decorrente da desestabilização da barreira hematoaquosa. Ainda, deve-se considerar a grande afinidade dos anti-inflamatórios não esteroidais por proteínas plasmáticas (ROZE et al., 1996), mormente as albuminas (BOOTHE, 1989).
A flunixina meglumina, que é um fenamato, é considerado um ácido fraco, ionizável em pH fisiológico, próprio do plasma e fluidos extracelulares (BOOTHE, 1989). Em conformidade com o que fora descrito por ROZE et al. (1996), estudando o ácido tolfenâmico, pode-se admitir que a desestabilização da barreira hematoaquosa, com posterior elevação das concentrações de proteínas no humor aquoso secundário, tenha resultado na ligação do fármaco às proteínas presentes neste fluido. Indica-se, em estudos posteriores, o sequenciamento de aminoácidos, para se estabelecer quais foram as proteínas encontradas na eletroforese.
Avanços quanto ao entendimento da ação das prostaglandinas têm oferecido grande substrato ao empreendimento e emprego racional de muitos fármacos, que anteriormente eram utilizados de forma empírica. HALL & BONTA (1977) sugeriram que os conhecimentos adquiridos devessem ser utilizados em modelos de inflamação, favorecendo o desenvolvimento de terapêutica mais seletiva. Quando se avalia a eficácia de certas substâncias, fatores como seu poder de penetração, capacidade de ligação às proteínas e metabolismo devem ser considerados.

CONCLUSÃO

Diante das condições experimentais impostas, permite-se admitir que:
•  a paracentese da câmara anterior elevou as concentrações proteicas do humor aquoso;
•  proteínas de maior peso molecular permeando o humor aquoso secundário indicavam a ocorrência de desestabilização da barreira hematoaquosa; a flunixina meglumina não promoveu redução das concentrações de proteína do humor aquoso nas condições propostas neste trabalho;
• a técnica descrita neste estudo é factível para a padronização e mensuração de proteínas do humor aquoso.

MATERIAL UTILIZADO

1. Dimensões 3,0 x2,0 m área coberta e solarium com 4,5 x 2,0 m (área total: 15 m2)
2. Special Croc, Royal Canin SA., Descalvado, SP
3. Banamine injetável , Schering-Plough-Coopers, São Paulo, SP
4. Solução Salina a 0,9% – JP Industria Farmacêutica, Ribeirão Preto, SP
5.Seringa de 1 mL – Becton &  Dickinson Indústrias Cirúrgicas, Juiz de Fora, MG
6. Agulha 25x7 – Becton &  Dickinson Indústrias Cirúrgicas, Juiz de Fora, MG
7. Neozine – Aventis Pharma, São Paulo, SP
8. Tiopental sódico, Cristália, Prod. Quim. Farm. Ltda. São Paulo, SP.
9. Colírio Anestésico – Allergan Produtos Farmacéuticos Ltda. Guarulhos, SP.
10. Centrífuga de3500rpm – QUIMIS – Aparelhos Científicos Ltda., Diadema, SP.


REFERÊNCIAS

AL-GHADYAN, A.; MEAD, A.; SEARS, M. Increased pressure after paracentesis of the rabbit eye is completely accounted for by prostaglandin synthesis and release plus pupillary block. Investigative Ophthalmology and Visual Science, v. 18, n. 4, p. 361-365, 1979.

BLOGG, J. R.; COLES, E. H. Clinicopathological aspects of canine aquous humour proteins. Research Veterinary Science, v. 12, p. 95-100, 1971.

BOOTHE, D. M. Controlling inflammation with nonsteroidal anti-inflammatory drugs. Veterinary Medicine, v. 84, p. 875-883, 1989.

BRADFORD, M. M. A rapid and sensitive method for the quantitation of microgram quantities of protein utilizing the principle of protein-dye binding. Analytical Biochemistry, v. 72, p. 248-254, 1976.

BRIGHTMAN, A. H.; HELPER, L. C.; HOFFMAN, W. E. Effect of aspirin on aqueous protein values in the dog. Journal American Veterinary Medical Association, v. 178, n. 6, p. 572-573, 1981.

BRITO, F. L. C.; ALVES, L. C.; MAIS F. C. L.; SANTOS, E. S. C; LAUS, J. L. Ocular alterations in dogs naturally infected by Leishmania chagasi. Arquivo Brasileiro de Medicina Veterinária e Zootecnia, v. 58, n. 5, p. 768-775, 2006.

COOLEY, P. L.; MILVAE, R.; RIIS, R. C. Effect of flunixin meglumine on prostacyclin accumulation in the equine eye. American Journal of Veterinary Research, v. 45, n. 7, p. 1383-1385, 1984.

GIULIANO, E. A. Non-steroidal anti-inflammatory drugs in veterinary ophthalmology. Veterinary Clinics Small Animal Practice, v. 34, p. 707-723, 2004.

GUM, G. G.; GELATT, K. N.; ESSON, D. W. Physiology of the eye. In: GELATT, K.N. Veterinary ophthalmology. 4th. ed. Iowa: Blackwell Publishing, 2007. p. 149-182.

HALL, D. W. R.; BONTA, I. L. Prostaglandins and ocular inflammation. Documenta ophthalmologica, v. 44, n. 2, p. 421-434, 1977.

HAZEL, S. J.; THRALL, M. A.; SEVERIN, G. A.; LAUERMAN JR.; L. H.; LAVACH, J. D. Laboratory evaluation of aqueous humor in the healthy dog, cat, horse and cow. American Journal of Veterinary Research, v. 46, n. 3, p. 657-659, 1985.

KAUFMAN, P. L. Aqueous humor dynamics. In: TASMAN, W.; JAEGER, E.A. Clinical ophthalmology: duane`s diseases of the retina. v. 3: Glaucoma. Philadelphia: J. B. Lippincott., 1993. p. 1-15.

KREMER, M.; BAIKOFF, G.; CHARBONNEL, B.  The release of prostaglandins in human aqueous humor following intraocular surgery. Effect of indomethacin. Prostaglandins, v. 23, n. 5, p. 695-702, 1982.

KROHNE, S. D. G.; VESTRE, W. A. Effects of flunixin meglumine and dexamethasone on aquous protein values after intraocular surgery in the dog. American Journal of Veterinary Research, v. 48, n. 3, p. 420-422, 1987.

KULKARNI, P. S.; SRINIVASAN, B. D. Anti-inflammatory effects of ketoprofen in rabbit corneal epithelial wound model. Experimental Eye Research, v. 41. p. 267-272, 1985.

LAEMMLI, U. K. Cleavage of strutural proteins during the assembly of the head of bacteriophage T4. Nature, v. 227, p. 680-685, 1970.

LEES, P.; HIGGINS, A. J. Flunixin inhibits prostaglandin E2 production in equine inflammation. Short Communications. Research in Veterinary Science, v. 37, p. 347-349, 1984.

MATHIS, G. A. Clinical Ophthalmic Pharmacology and Therapeutics. In: GELATT, K.N. Veterinary ophthalmology. 3rd ed. Philadelphia: Lippincott Williams & Wilkins, 1999. ch. 8, p. 291-354.

MEALEY, K. Systemic absorption of topically administered drugs. The Compendium on Continuing Education for the Practicing Veterinarian, v. 22, n. 7, p. 649-655, 2000.

MILLICHAMP, N. J.; DZIEZYC, J. Comparison of Flunixin Meglumine and Flurbiprofen for control of ocular irritative response in dogs. American Journal of Veterinary Research, v. 52, n. 9, p. 1452-1455, 1991.

PAPICH, M.G. Un update on nonsteroidal anti-inflammatory drugs (NSAIDS) IN Small Animals. Veterinary Clinics of North America: Small Animal, v. 38, p. 1243-1266. 2008.

REGNIER, A.; BONNEFOI, M.; LESCURE, F. Effect of lysine – acetylsalicylate and phenylbutazone premedication on the protein content of secondary aquous humor in the dog. Research in Veterinary Science, v. 37, p. 26-29, 1984.

REGNIER, A.; WHITLEY, R. D.; BONNEFOI, M. Effect of flunixin meglumine on the breakdown of the blood-aqueous barrier following paracentesis in the canine eye. Journal of Ocular Pharmacology, v. 2, n. 2, p. 165-70, 2002.

RIBEIRO, A. P. Estudo do meloxicam e do carprofeno administrados por diferentes vias no controle da uveíte em cães (Canis familiares- LINNEAUS, 1758). Tese (Mestre em Cirurgia Veterinária) – Faculdade de Ciências Agrárias e Veterinárias, Universidade Estadual Paulista, Jaboticabal, 2007.

ROZE, M.; THOMAS, E.; DAVOT, J. L. Tolfenamic acid in the control of ocular inflammation in the dog: Pharmacokinetics and clinical results obtained in an experimental model. Journal of Small Animal Practice, v. 37, p. 371-375, 1996.

SHIELS, I. A.; SANDERSON, S. D.; TAYLOR, S. M. Arterially perfused eye model of uveitis. Australian Veterinary Journal, v. 77, n. 2, p. 100-104, 1999.

SLATTER, D. Fundamentals of veterinary ophthalmology. 2nd. ed. Philadelphia: W. B. Saunders, 2001. 640 p.

WARD, D. A. ; FERGUSON, D. C. ; WARD, S. L. ; GREEN, K. ; KASWAN, R. L. et al. Comparision of the blood – aquous barrier stabilizing effects of steroidal and nonsteroidal antiinflammatory agents in the dog. Progress in Veterinary and Comparative Ophthalmology, v.  2, n. 3, p. 117-123, 1992.

WILKIE, D. A.; COLLINS, C. M. H. Surgery of the canine lens. In: GELATT, K.N. Veterinary Ophthalmology, 4th. Iowa: Blackwell Publishing, 2007. p. 888-931.

ZIMMERMAN, T. J.; GRAVENSTEIN, N.; SUGAR, A.; KAUFMAN, H. E. Aspirin stabilization of the blood-aqueous barrier in the human eye. American Journal Ophthalmology, v. 79, n. 5, p. 817-819, 1975.


Protocolado em: 20 fev. 2009.   Aceito em: 1º jun. 2009.