CARCINOMA SÓLIDO DE GLÂNDULA MAMÁRIA COM METÁSTASE
EM MEDULA ESPINHAL


Ana Paula Iglesias Santin,1 Veridiana Maria Brianezi Dignani Moura,1 Naida Cristina Borges,1 Severiana Cândida Mendonça Cunha Carneiro,2 Denise Caroline Toledo3 e Regiani Nascimento Gagno Porto1

1. Professoras doutoras da Escola de Veterinária da UFG
2. Médica veterinária do HV/EV/UFG
3. Graduanda em Medicina Veterinária, EV/UFG.




RESUMO

Neoplasias mamárias são comuns entre as fê­meas caninas e os carcinomas, dentre as formas malignas, ocorrem com maior frequência, particularmente o tipo sólido. Estes podem apresentar-se pequenos e incipientes à macroscopia, contudo são invasivos e pouco diferenciados, com possibilidade de produzir metástases que comprometem a sobrevida do animal. Assim, descreve-se o caso de uma cadela, da raça Fila Brasileiro, de seis anos, que apresentou tetraplegia consequente à metástase medular cervical de carcinoma sólido mamário.

PALAVRAS-CHAVES: Cão, neoplasia mamária, sistema nervoso central.

ABSTRACT

MAMMARY SOLID CARCINOMA WITH SPINAL CORD METASTASIS

Mammary neoplasias are common in canine females and carcinomas, among malignant types, occur frequently, especially solid form. At gross view, it can be small and incipient, but it’s invasive and show little differentiation, being able to produce metastasis that can compromise animal survive. This describes a bitch, Fila Brasileiro, six year old with tetraplegy and cervical spinal cord metastasis of mammary solid carcinoma.

KEYWORDS: Central nervous system, dog, mammary neoplasia


INTRODUÇÃO

Tumores mamários figuram entre as principais neoplasias que acometem as fêmeas caninas (MORRIS & DOBSON, 2001) e fatores hormonais e de crescimento apresentam papel importante na tumorigênese mamária, bem como aqueles relacionados à nutrição (MISDORP, 2002).
As neoplasias mamárias são observadas com maior frequência em cadelas adultas a idosas e todas as raças podem ser afetadas (MISDORP, 2002), incluindo animais sem raça definida (ROCHA & TOSTES, 2005). Dos possíveis tipos histológicos, os carcinomas são os de maior ocorrência entre as formas malignas (MORRIS & DOBSON, 2001), assim como entre os carcinomas o tipo sólido é o mais frequente, sendo considerado pouco diferenciado e de caráter invasivo (ZUCCARI et al., 2001).
Metástases de tumores mamários caninos ocorrem por via linfática ou venosa (QUEIROGA & LOPES, 2002) e podem produzir focos metastáticos em diversos órgãos, como pulmão e sistema nervoso central (SNC) (KOESTNER & HIGGINS, 2002).
Neste contexto, descreve-se o caso de uma cadela com tetraplegia que apresentava metástase de carcinoma sólido mamário na medula espinhal e nas vértebras na altura de C1, C2 e C3. A apresentação clínica pouco comum de envolvimento medular é uma das características deste relato.

DESCRIÇÃO DO CASO

Uma fêmea canina, da raça Fila Brasileiro e seis anos de idade, apresentou histórico de dificuldade de locomoção e progressão para tetraplegia havia dois meses. À mielografia constatou-se interrupção da drenagem do contraste entre as vértebras cervicais C1 e C4 (Figura 1), ratificando a suspeita clínica inicial de lesão medular cervical de origem neoplásica. Diante do prognóstico reservado e o estado geral do animal, procedeu-se à eutanásia e ao exame necroscópico. À análise da cadeia mamária constatou-se nódulo único, de consistência firme, superfície ligeiramente irregular, móvel e medindo 3 cm de diâmetro, em mama abdominal cranial esquerda. Os pulmões apresentavam múltiplas nodulações que variavam entre 0,5 e 3 cm de diâmetro (Figura 2A). Na altura das vértebras cervicais foi observado aumento de volume de aspecto neoplásico, infiltrando vértebras cervicais C1, C2 e C3, assim como comprimindo medula espinhal correspondente (Figura 2B).
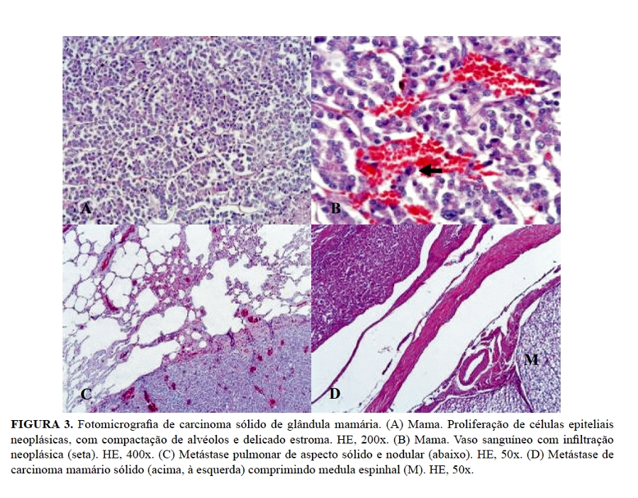
Para a determinação da histogênese neoplásica, fragmentos de nódulos mamário e pulmonares, bem como de vértebra, incluindo neoplasia em canal medular, foram colhidos, fixados em formol tamponado a 10%, processados e corados com HE. À microscopia do nódulo mamário, foi verificada proliferação de células epiteliais neoplásicas que se infiltravam para o interior dos lóbulos, havendo impactação de alvéolos e ductos, conferindo aspecto sólido ao neoplasma. Observaram-se, ainda, quantidade moderada de trabéculas de tecido fibroso, figuras de mitose e células neoplásicas no interior de vasos sanguíneos, sendo os achados compatíveis com carcinoma sólido de glândula mamária (Figuras 3A e 3B). Fragmentos de pulmão e massa vertebral apresentaram aspecto histológico semelhante ao da mama, caracterizando focos metastáticos da neoplasia primária da mama (Figuras 3C e 3D).

DISCUSSÃO E CONCLUSÃO

Segundo MORRIS & DOBSON (2001) e RUTTEMAN et al. (2001), neoplasias mamárias ocorrem em cadelas idosas, com média de dez anos. Apesar disso, MISDORP (2002) e DE NARDI et al. (2002) referem a ocorrência em animais acima de seis anos, idade esta semelhante à do animal deste relato. De acordo com esse mesmo autor, as raças mais afetadas são Pointer, Retrievers, English Setters, Spaniels, Poodles, Boston Terriers e Dachshunds. Neste caso, o carcinoma mamário foi diagnosticado em uma cadela da raça Fila Brasileiro, o que está de acordo com MISDORP (2002), que refere a possibilidade de ocorrência da neoplasia em qualquer raça canina.
Segundo LOAR (1992) e RUTTEMAN et al. (2001), tumores mamários caracterizam-se clinicamente por nódulos únicos (75%) ou múltiplos (25%) no interior da glândula mamária. No caso apresentado, a cadela apresentava nódulo único e pequeno na mama abdominal cranial esquerda, que passou despercebido clinicamente por seu tamanho reduzido e, somente ao exame necroscópico, este foi detectado e apontado como possível sítio primário da neoplasia medular cervical detectada ainda em vida. Ainda, de acordo com QUEIROGA & LOPES (2002) e ROCHA & TOSTES (2005), a maioria das neoplasias mamárias ocorre nas mamas inguinais. Apesar disso, o tumor mamário da cadela em questão encontrava-se na mama abdominal cranial, que, segundo esses mesmos autores, também constitui local comum de ocorrência de processos dessa natureza. Já RUTTEMAN et al. (2001) referem as mamas inguinais e abdominais caudais como sítio frequente de neoplasia mamária, especulando que a alta ocorrência nessas mamas se deva ao maior volume de tecido mamário que estas possuem.
KOESTNER & HIGGINS (2002) referem que as neoplasias primárias mais comuns com metástase no SNC são carcinomas nasal, pulmonar, mamário e renal. Ainda, de acordo com o mesmo autor, pode ocorrer metástase dessas neoplasias também para a coluna, gerando compressão medular e comprometimento de movimentação e sensibilidade corporal, sendo observada situação similar neste caso, em que o carcinoma metastático da região cervical comprimiu a medula espinhal, infiltrou na medula óssea e culminou com a tetraplegia do animal. Outros autores também descrevem casos peculiares de disseminação dos tumores mamários em cadelas, como MANDARA et al. (2007), que relataram o SNC como sítio metastático de carcinoma sólido de glândula mamária, com envolvimento da leptomeninge cerebelar. Já ALVES et al. (2006) descreveram um caso raro de neoplasias sincrônicas no SNC, acometendo uma fêmea canina da raça Boxer, de nove anos, sendo uma de origem primária (oligodendroglioma) e outra secundária (adenocarcinoma mamário metastático).
ZUCCARI et al. (2001) referem que os carcinomas, independente do tipo, apresentam prognóstico reservado, tendendo a desfavorável, como observado neste animal. Quanto às características microscópicas, todas as descritas por MISDORP (2002) foram observadas no presente relato, com ênfase na proliferação de células neoplásicas e na impactação alveolar, que também são destacadas por ZUCCARI et al. (2001) como características histológicas importantes dos carcinomas sólidos, frequentemente apontados nos casos em que há disseminação, pois apresentam alto grau de malignidade e invasão (MISDORP, 2002; MANDARA et al., 2007).
Neoplasias mamárias malignas, independente do tamanho na apresentação clínica, frequentemente causam metástases pulmonares. Contudo, ossos e SNC também compreendem possíveis locais para a ocorrência desse fenômeno de disseminação neoplásica, sendo o exame histopatológico essencial para a determinação da origem e classificação desses tumores. Vale destacar que o exame minucioso da cadeia mamária deve ser realizado, especialmente em fêmeas caninas com sinais de doença neoplásica óssea e/ou nervosa.

REFERÊNCIAS

ALVES, A.; PRADA J.; ALMEIDA, J.M.; PIRES, I.; QUEIROGA, F.; PLATT, S.R.; VAREJÃO, A.S. Primary and secundary tumours occurring simultaneously in the brain of a dog. Journal of Small Animal Practice, v. 47, n. 10, p. 607-610, 2006.

DE NARDI, A. B.; RODASKI, S.; SOUSA, R. S.; COSTA, T. A.; MACEDO, T. R.; RODIGHERI, S. M.; RIOS, A.; PIEKARZ, C. H. Prevalência de neoplasias e modalidades de tratamento em cães atendidos no Hospital Veterinário da Universidade Federal do Paraná. Archives of Veterinary Science, v. 7, n. 2, p. 15-26, 2002.

KOESTNER, A.; HIGGINS, R. J. Tumors of the nervous system. In: MEUTEN, D.J. Tumors in domestic animals. 4. ed. Iowa: Iowa State Press, 2002. p. 737-738.

LOAR, A. S. Tumores do sistema genital e glândulas mamárias. In: ETTINGER, S. J. Tratado de medicina interna veterinária. 3. ed. São Paulo: Manole, 1992. p. 1900-1906.

MANDARA, M. T.; ROSSI, F.; LEPRI E.; ANGELI, G. Cerebellar leptomeningeal carcinomatosis in a dog. Journal of Small Animal Practice, v. 48, n. 9, p. 504-507, 2007.

MISDORP, W. Tumors of the mammary gland. In: MEUTEN, D.J. Tumors in domestic animals. 4. ed. Iowa: Iowa State Press, 2002. p. 575-606.

MORRIS, J.; DOBSON, J. Mammary gland. In:_____. Small animal oncology. 1. ed. Iowa: Blackwell Science, 2001. p. 184-185.

QUEIROGA, F.; LOPES, C. Tumores mamários caninos: pesquisa de novos factores de prognóstico. Revista Portuguesa de Ciências Veterinárias, v. 97, n. 543, p. 119-127, 2002.

ROCHA, N. S.; TOSTES, R. A. Diagnóstico comparativo entre citologia aspirativa por agulha fina e avaliação histológica da glândula mamária de cadelas. Colloquium Agrariae, v. 1, n. 2, p. 38-42, 2005.

RUTTEMAN, G. R.; WITHROW, S. J.; MACEWEN, E. G. Tumors of the mammary gland. In: WITHROW, S. J.; MACEWEN, E. G. Small animal clinical oncology. 2. ed. Philadelphia: Sanders, 2001. p. 455-477.

ZUCCARI, D. A. P. C.; SANTANA, A. E.; ROCHA, N. S. Correlação entre a citologia aspirativa por agulha fina e a histologia no diagnóstico de tumores mamários de cadelas. Brazilian Journal of Veterinary Research and Animal Science, v. 38, n. 1, p. 38-41, 2001.


Protocolado em: 7 mar. 2008.   Aceito em: 12 set. 2009.