DOI: 10.5216/cab.v12i3.12850

AVALIAÇÕES MORFOLÓGICAS DE LESÕES NAS EXTREMIDADES DISTAIS DOS MEMBROS DE BOVINOS CLAUDICANTES

 

Luiz Henrique Silva1, Ingrid Rios Lima1, Ângela Moni Fonseca2, Naida Cristina Borges3, Maria Clorinda Soares Fioravanti4

 

1Pós-graduandos em Ciência Animal pela Escola de Veterinária e Zootecnia da Universidade Federal de Goiás, Goiânia, GO – luyzhenryque@hotmail.com

2Residente em Anestesiologia Veterinária no Hospital Veterinário da UFG, Goiânia, GO.

3Professoras Doutoras da Escola de Veterinária e Zootecnia da UFG, Goiânia, GO.


RESUMO

A alta incidência de afecções podais, que, ao se complicarem, disseminam a infecção para estruturas internas dos dedos, requer exame detalhado mediante emprego de técnicas auxiliares de diagnóstico. Objetivou-se com este estudo determinar os aspectos morfológicos dos dígitos de bovinos claudicantes, classificando e quantificando a ocorrência de alterações macroscópicas e histopatológicas, bem como estabelecer correlações entre as variáveis macroscopia-microscopia, claudicação-macroscopia e claudicação-microscopia. Foram utilizados 18 bovinos mestiços, machos, manejados em sistema intensivo durante o período de 112 dias. Os animais foram divididos em três grupos: (GI) claudicação de escore 2; (GII) claudicação escore 3 e (GIII) claudicação escore 4, resultando em 72 membros a serem avaliados. Realizaram-se exames clínicos e histopatológicos em todas as extremidades dos membros, sendo coletadas amostras na porção dorsal e palmar/plantar para realização do histopatológico, totalizando 144 amostras. Observou-se que 15 (83,3%) dos 18 animais estudados apresentaram a associação de lesões macro com lesões microscópicas, sendo que seis animais pertenciam ao GIII, cinco ao GII e quatro ao GI. A erosão de talão acometeu 16,6% dos membros torácicos esquerdo, sendo a única lesão macroscópica deste membro. Na avaliação microscópica da derme constatou-se ausência de lesões em 68,7% das amostras e em 31,3% verificou-se infiltrado inflamatório mononuclear. O infiltrado inflamatório mononuclear multifocal predominou (43,1%) em relação ao infiltrado dos tipos difuso (15,2%) e focal (4,2%), sendo que três infiltrados inflamatórios do tipo focal eram leves e onze eram difusos e severos. De acordo com a metodologia empregada, pôde-se concluir que o escore de locomoção, associado à caracterização das lesões podais e ao exame histopatológico, auxiliou no diagnóstico de claudicação e que existe relação entre claudicação, lesões macroscópicas e alterações histopatológicas, mas não foi possível relacionar os tipos de lesões microscópicas às diferentes formas de manifestação das doenças podais nos bovinos estudados.
--------------------
PALAVRAS-CHAVE: bovino; claudicação; dígitos; histopatologia.

 

MORPHOLOGICAL EVALUATIONS OF LESIONS IN DISTAL LIMBS OF CROSSBREDS CATTLE WITH LAMENESS

 

ABSTRACT

The high incidence of claw diseases requires detailed examination by use of diagnostic techniques, especially when they become complicated and spread the infection to the internal structures of the digits. The objective of this study was to determine the morphological features of the digits of lame cattle, classifying and quantifying the occurrence of macroscopic and histopathological changes, and to establish correlations between macroscopy-microscopy, macroscopy-lameness and lameness-microscopy variables. A total of 18 crossbred, male cattle were used. The animals, managed in intensive system during 112 days, were divided into three groups: (GI) lameness score 2, (GII) lameness score 3, and (GIII) lameness score 4, resulting in 72 evaluated distal limbs. Clinical and histopathological examinations were carried out at the ends of the limbs, and dorsal and palmar / plantar regions were sampled to perform the histopathological test, totaling 144 samples. Out of studied 18 animals, 15 (83.3%) showed the association of macroscopic and microscopic lesions, being six animals from GIII, four from GII and five from GI. The heel erosion was found in 16.6% of the left forelimbs, being the only macroscopic lesion in this limb. Dermis microscopic evaluation revealed absence of lesions in 68.7% of samples and mononuclear cell infiltration in 31.3%. The multifocal mononuclear cell infiltrate was predominant (43.1%) compared to the diffuse (15.2%) and focal (4.2%) infiltration. Three types of focal inflammatory infiltrates were light and 11 were diffuse and severe. In conclusion, locomotion score, associated with the characterization of lesions and the histopathology examination supported the diagnosis of lameness showing a relationship between lameness, macroscopic lesions and histopathological changes; however, it was not possible to relate types of microscopic lesions to the different manifestations of claw disease in the studied animals.
---------------------
KEYWORDS: bovine; digits; histopathology; lameness.

INTRODUÇÃO

 No sistema de confinamento, os problemas podais encontrados no Brasil são semelhantes àqueles relatados nos países desenvolvidos, havendo a predominância de dermatite digital e interdigital, laminite e seus efeitos secundários. O aumento significativo na prevalência de lesões digitais no Brasil tem sido associado à introdução de técnicas modernas de manejo intensivo nos rebanhos (CRUZ et al., 2001). O estudo realizado por SOUZA (2001) em sistemas de produção de leite intensivo e semi-intensivo encontrou uma prevalência de até 89,8% de lesões podais.

Com o propósito de facilitar o estudo da claudicação nos bovinos, FERREIRA et al. (2004), desenvolveram um sistema de avaliação para essa alteração da locomoção. Os critérios foram adaptados de WELLS et al. (1993), em que: escore 0 = postura normal com linha de dorso retilínea em estação e locomoção, passos firmes com distribuição correta do peso e apoios; escore 1 = postura normal em posição quadrupedal e ligeiramente arqueada em locomoção, apoios normais; escore 2 = postura arqueada em estação e locomoção, ligeira alteração dos passos; escore 3 = arqueamento do corpo em estação e locomoção, assimetria evidente do apoio poupando membros, com menor tempo de apoio do(s) membro(s) lesado(s); escore 4 = incapacidade de apoio ou de sustentação do peso do(s) membro(s) lesado(s) e relutância ou recusa em locomover-se. De acordo com  FERREIRA et al. (2004), a claudicação é evidenciada a partir do escore dois de locomoção, sendo que animais com escore um de locomoção, podem apresentar desordens locomotoras.

Dentre as causas de claudicação, as enfermidades digitais estão entre as mais importantes (SOUZA, 2001). Segundo SILVA et al. (2001), NICOLETTI (2004) e MOURA et al. (2010), dependendo da gravidade das lesões podais, a claudicação apresenta graus variados de intensidade. Clinicamente, as enfermidades digitais podem apresentar reações proliferativas, infecciosas ou ulcerativas localizadas nos cascos, espaço interdigital e borda coronária, sendo que a dermatite interdigital está presente em vários criatórios.

Existe uma variedade de lesões digitais associadas à claudicação que estão relacionadas com a presença de agentes infecciosos (CLARKSON et al., 1996). O estudo realizado por CRUZ et al. (2001), em rebanhos leiteiros do Rio Grande do Sul, comprovou a seguinte prevalência de lesões digitais associadas a claudicação: dermatite digital (29,9% ); úlcera de sola (18.3%); dermatite interdigital (17,8%); hiperplasia digital (10,4%) e flegmão interdigital (2,4%).

A alta incidência de afecções podais que, ao se complicarem, disseminam a infecção para estruturas internas dos dedos (EBEID & STEINER, 1996) requerem, portanto, exame detalhado mediante emprego de técnicas auxiliares de diagnóstico como a histopatologia. O exame histopatológico aliado ao clínico poderá ser uma ferramenta importante no estabelecimento da etiologia da doença, bem como no prognóstico da mesma ao determinar a extensão dos tecidos envolvidos.

Nos trabalhos realizados por LEIST & RUDOLPH (1998) em vacas leiteiras a forma hiperplásica da dermatite digital se caracterizou morfologicamente por perda do epitélio e hiperqueratose, além de áreas de degeneração e presença de fibrina. No estrato espinhoso, foi evidenciada acantose e, no basal aumento, de figuras mitóticas com infiltração perivascular na derme.

Os aspectos morfológicos ainda são motivos de especulação. A histopatologia das lesões do tipo proliferativa (papilomatosa) é caracterizada por um significativo espessamento da porção externa da epiderme com acantose, paraqueratose e hipertrofia das células epiteliais. Observa-se degeneração dos queratinócitos, dentro dos quais se pode notar presença de corpúsculos de inclusão intracitoplasmático eosinofílico (DOHERTY et al., 1998). BRITO et al. (2008) relataram que o aspecto histopatológico mais intrigante na biópsia do espaço interdigital de bovinos portadores de dermatite interdigital foi à nítida preponderância dos eosinófilos sobre os demais tipos de polimorfonucleares.

Neste contexto, objetivou-se com este estudo determinar os aspectos morfológicos dos dígitos de bovinos claudicantes, classificando e quantificando a ocorrência de alterações macroscópicas e histopatológicas. Além disso, procurou-se estabelecer correlação entre as variáveis macroscopia-microscopia, claudicação-macroscopia e claudicação-microscopia.

 MATERIAL E MÉTODOS

 Este ensaio foi realizado utilizando 18 bovinos mestiços (Zebu X Europeu), machos, manejados em sistema intensivo durante o período de 112 dias, contados a partir da entrada dos animas no confinamento. O projeto de pesquisa foi submetido à apreciação e aprovação pelo Comitê de Ética em Pesquisa da Universidade Federal de Goiás (UFG), protocolo No 009/2008. 

A avaliação clínica dos animais foi realizada nos momentos da chegada ao confinamento e aos 112 dias, ocasião de saída para o frigorífico. Nesses momentos, caracterizou-se a claudicação como desordens locomotoras. Na definição do escore de locomoção, os bovinos foram observados adotando os critérios estabelecidos por FERREIRA et al. (2004). Assim, foram monitorados tanto em posição quadrupedal como durante a locomoção, mas sempre percorrendo uma linha reta em superfície plana. Em seguida, os animais foram divididos em três grupos: o primeiro grupo (GI), claudicação 2; o segundo grupo (GII) apresentava grau 3 de claudicação e terceiro grupo (GIII) composto por animais que apresentavam grau 4 de claudicação.

O abate dos animais foi realizado em frigorífico sob Inspeção Federal, sendo acompanhado pelos pesquisadores para a colheita de todas as extremidades distais dos membros locomotores, resultando em 72 membros a serem avaliados. Para a colheita, os membros foram desarticulados entre as junções carpometacárpica e tarso-metatársica, separados e identificados de acordo com o número da carcaça de cada animal. Na sequência, as extremidades foram encaminhadas à Escola de Veterinária (EV) da UFG para classificação das lesões podais existentes. Os membros foram lavados com água e sabão e, quando necessário, realizou-se escovação digital para auxiliar na remoção de sujidades.

Após a preparação das peças, procedeu-se à classificação das lesões externas de acordo com as recomendações de SILVA et al. (2001) e NICOLETTI (2004). Adotou-se a denominação de lesão associada quando se constatou a presença de sinais clínicos compatíveis com mais de uma enfermidade digital na mesma extremidade. A severidade das lesões foi qualificada em três escores de acordo com as estruturas anatômicas envolvidas, como os cascos, espaço interdigital, borda coronária e cório laminar. Assim, as lesões foram classificadas em leves, moderadas e severas quando apresentavam comprometimento, respectivamente, de uma, duas e três ou mais estruturas anatômicas.

Para a análise histopatológica foram colhidas amostras do tecido interdigital de cada animal para o exame a ser realizado no Setor de Patologia da EV-UFG. Foram obtidas duas amostras de tecido mole, por dígito, do espaço interdigita,l sendo uma amostra coletada na porção interdigital dorsal, próxima à parede do casco, e a outra da porção interdigital palmar ou plantar, próxima ao talão. Essas amostras apresentaram dimensões de aproximadamente três centímetros de largura por dois centímetros de profundidade. Dessa forma foram coletadas oito amostras por animal, totalizando 144.

O material coletado foi fixado em solução tamponada de formol a 10%, por 24 horas. Após a fixação, os fragmentos foram recortados, transferidos para pequenos recipientes plásticos individuais e descalcificados em solução de ácido fórmico e ácido clorídrico por três horas. Na sequência, foram lavados com água corrente durante 24 horas e posteriormente deixados no álcool 70% por mais 24 horas. As amostras foram desidratadas em álcool etílico em série crescente, desde álcool 70% até álcool absoluto. Em seguida, foram realizadas as clarificações com xilol e inclusão em parafina histológica (Histotec pastilhas - Merck KgaA- Alemanha), com ponto de fusão a 56°C. Na etapa seguinte, os fragmentos foram seccionados a cinco micrômetros em micrótomo rotativo (Micrótomo Rotatitvo - American-Optical®, modelo Spencer-820), utilizando-se navalhas descartáveis (LEICA 818). Os cortes obtidos de todos os fragmentos foram corados pela técnica de HE - hematoxilina e eosina. As lâminas foram analisadas em microscópio óptico de campo claro marca Carl Zeiss®, modelo Jenaval, e as lesões encontradas classificadas quanto à localização, epiderme (Hiperqueratose, Hiperplasia, Acantose e Espongiose) ou derme (Infiltrado mononuclear focal, multifocal ou difuso) e grau de comprometimento, sendo, ainda classificadas em leve, moderado e severo.

Os dados obtidos quanto ao aspecto macroscópico, histológico e grau de claudicação dos membros foram tabulados e apresentados sob a forma de distribuição de frequência. O teste do Qui-quadrado para independência foi aplicado na avaliação da ocorrência de associações entre claudicação versus lesão macroscópica, claudicação versus lesão microscópica e lesão macroscópica versus lesão microscópica. As análises foram realizadas com auxílio do programa SPSS, versão 15.0®, considerando a significância de 5%.

 RESULTADOS

 Os resultados relativos aos animais que apresentaram lesões macroscópicas, microscópicas ou a associação dessas duas lesões, de acordo com a distribuição em grupos, encontram-se dispostos na Tabela 1. Observou-se que 15 (83,3%) dos 18 animais estudados apresentaram a associação de lesões macro com lesões microscópicas, sendo que seis animais pertenciam ao GIII, cinco ao GII e quatro ao GI.

Dos 72 membros estudados 25 (34,7%) não apresentaram lesões macroscópicas, microscópicas ou lesões associadas (macro e microscópicas concomitantes). Apenas nove (12,5%) extremidades apresentaram lesão macroscópica isoladamente e em 20 (27,8%) foram observadas alterações microscópicas sem lesões macroscópicas. Lesões concomitantes (macro e microscópicas) ocorreram em 18 (25,0%) das extremidades avaliadas (Tabela 2).

De 27 (37,4%) membros portadores de lesões macroscópicas, os tipos de lesões e as frequências de ocorrência das mesmas estão descritas na Tabela 3.

Dos membros que apresentaram lesões macroscópicas, 10 (13,8%) tinham pododermatite séptica (Tabela 3), seis (8,3%) erosão de talão (Tabela 3) e dois (2,7%) dermatite digital (Tabela 3). A dermatite interdigital não apareceu isolada em nenhum membro, estava sempre associada com pododermatite séptica ou com erosão de talão e a dermatite digital apresentou associação em seis membros (Tabela 3). A erosão de talão acometeu 16,6% dos membros torácicos esquerdo, sendo a única lesão macroscópica deste membro (Tabela 3).

Na Tabela 4 estão dispostos os resultados do exame histopatológico. Foram colhidas amostras de tecido interdigital nas porções dorsal e palmar/plantar, não sendo observadas lesões microscópicas, respectivamente, em 40 (55,6%) e 44 (61,2%) das amostras nessas porções. A frequência de lesões associadas foi superior às isoladas de derme e epiderme tanto para as amostras colhidas na porção dorsal (36,1%) quanto na palmar/plantar (22,2%).

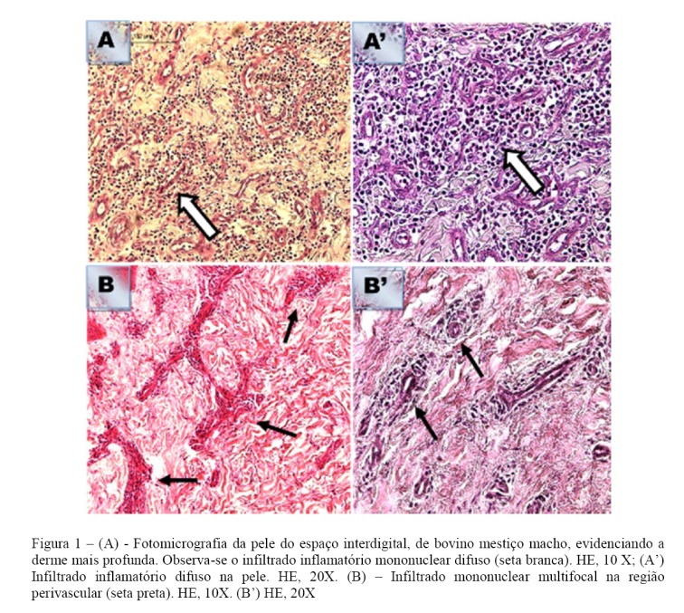
Na avaliação microscópica da derme, constatou-se ausência de lesões em 68,7% das amostras e em 31,3% verificou-se infiltrado inflamatório mononuclear. O infiltrado inflamatório mononuclear multifocal (Figura 1A) predominou (43,1%) em relação ao infiltrado dos tipos difuso (15,2%) e focal (4,2%). Nessa avaliação, três infiltrados inflamatórios do tipo focal eram leves e onze eram difusos e severos (Figura 1B).

As lesões microscópicas de epiderme observadas foram espongiose, hiperqueratose, hiperplasia e acantose. Apenas dois (2,7%) membros apresentaram espongiose da camada basal e a hiperplasia ocorreu em 21 (43%) extremidades. Observou-se acantose e hiperqueratose em 57 (39,6%) amostras de tecido interdigital. Essas lesões ocorreram de forma concomitante em quase todos os membros com lesões na epiderme.

As possíveis associações entre claudicação e lesões macroscópicas e microscópicas são apresentadas na Tabela 5. Alterações macroscópicas estiveram presentes em 77,8% dos membros, cujos bovinos apresentavam claudicação evidente (p<0,0001). Alterações microscópicas também foram identificadas em 88,9% dos membros de bovinos claudicantes (p=0,0011).

Analisando a associação entre ocorrência de lesão macroscópica e a presença de lesão microscópica (Tabela 6), verificou-se que as lesões macroscópicas estiveram presentes em 74% dos membros que apresentavam lesão microscópica (p=0,0272).

DISCUSSÃO

 

A avaliação do escore de locomoção realizada possibilitou a identificação de diferentes graus de claudicação. Todos os bovinos avaliados atingiram o escore de locomoção mínimo estabelecido por FERREIRA et al. (2004) para serem considerados claudicantes. Todavia, essas alterações de marcha nem sempre ocorreram associadas a lesões digitais aparentes, sugerindo que o desconforto apresentado pelos animais pode ter origem também em estruturas internas dos dígitos, justificando a escolha do exame histopatológico para auxiliar no diagnóstico de possíveis alterações ocultas.

Os bovinos do presente estudo, quando chegaram ao confinamento, já eram portadores de desordens na locomoção que culminava em claudicação de diferentes graus. O período em que esses animais ficaram confinados, período seco do ano, não colaborou com o agravamento das lesões podais na maioria dos bovinos. Entretanto, observou-se que se tratava de lesões antigas, que se originaram provavelmente no período chuvoso, e tal informação vai de encontro aos resultados observados por LEÃO et al. (2009), que, estudando os aspectos epidemiológicos da dermatite digital em duas propriedades de exploração leiteira no Estado de Goiás, observou que os maiores índices da doença ocorreram no período seco do ano, porém DEMIRKAN et al. (2000) afirmaram que há evidências de correlação direta entre a quantidade de chuva e a incidência de claudicação em gado de leite.

A apresentação variada dos escores de locomoção entre as enfermidades digitais diagnosticadas pode estar relacionada à severidade das lesões, manifestando escores mais graves quando houve comprometimento secundário com a invasão de tecidos mais profundos. MARTINS et al. (2002) relataram escores de locomoção 4 e 5 em bovinos com lesões de pododermatite séptica e hiperplasia interdigital, apresentando comprometimento digital secundário e deformação podal. MOLINA et al. (1999) ressaltaram que, em bovinos com lesões podais discretas, pode ser difícil observar claudicação evidente e MOURA et al. (2010) afirmaram que a cronificação das doenças digitais proporciona adaptações na forma de caminhar, minimizando a claudicação.

Neste estudo a ocorrência de lesões podais foi observada em animais com faixa etária de três a quatro anos. O mesmo foi encontrado por BERGSTEN (1997) e LEÃO et al. (2009), que relataram que as enfermidades digitais dos bovinos podem ser observadas em todas as faixas etárias.

As lesões macroscópicas foram observadas nesse estudo tanto na região entre os talões como no espaço interdigital dorsal e palmar/plantar (Tabela 3), ocorrendo predominantemente no membro pélvico direito. Os resultados foram semelhantes aos descritos por SILVA et al. (2001), que observaram maior ocorrência de lesões nos membros pélvicos do que nos torácicos e maior ocorrência na faixa etária entre três e quatro anos.

Dentre as lesões podais, a dermatite digital ocorreu em 8,3% dos membros de forma associada. Segundo MARTINS et al. (2002), as lesões de dermatite digital são típicas de ambientes de confinamento, pois as condições sanitárias deficientes de certos criatórios constituem fator predisponente potente para o surgimento de outras enfermidades digitais, uma vez que proporcionam condições favoráveis à presença e proliferação de agentes infecciosos (CUNHA, 2001). No estudo em questão, considerando-se os fatores envolvidos com as condições às quais os animais eram expostos e também as do confinamento, acredita-se que as outras lesões macroscópicas observadas possam ter advindo da dermatite digital.

Em 27 (37,4%) membros portadores de lesões macroscópicas, 10 (13,9%) foram de pododermatite séptica (Tabela 3). Corroborando com BLOWER et al. (1994), essa lesão difere da dermatite interdigital devido à sua localização, apresentando-se com uma tumefação úmida na pele do espaço interdigital, acompanhada de claudicação. Independente da severidade dessa lesão podal, sempre havia comprometimento de estrutura internas.

Os achados histopatológicos foram de grande importância para o estudo, estando a metodologia empregada satisfatória para se alcançar os objetivos propostos. O método de coloração não foi suficiente para definir a presença de todos os possíveis agentes infecciosos, pois, segundo BLOWEY et al. (1994) e AMSTEL et al. (1995), existem ocorrências de espiroquetas em lesões podais, assim como fungos e bactérias, que, para identificá-las, é necessária a utilização de colorações especiais.

Na derme observou-se presença de infiltrado inflamatório predominantemente mononuclear (Figura 1A), associado à discreta presença de eosinófilos. Esses achados estão de acordo com os descritos por MORAES (2001) que, ao examinar a fase inicial da inflamação do espaço interdigital em fêmeas bovinas girolandas, observou a presença de glóbulos de queratina, acantose, espongiose e infiltrado inflamatório mononuclear, com tendência a formar granulomas na derme.

Em 57 (39,6%) amostras de pele examinadas no presente estudo, evidenciou-se um quadro de hiperqueratose associada com a acantose. Esses achados são diferentes dos observados por BRITO et al. (2008) em dez biópsias de inflamação interdigital de pododermatite na fase inicial, nas quais a acantose foi observada em apenas 30% dos casos, enquanto a hiperqueratose estava presente em somente 20% dos materiais examinados.

Segundo CARLTON & MAcGAVIN (1998), a espongiose observada é resultado de um edema extracelular, onde se observa que à medida que ocorre a expansão dos espaços intercelulares pelo acúmulo de líquido, a epiderme assume uma aparência “esponjosa” e as uniões desmossômicas ficam evidenciadas. Tais características foram observadas em membros que apresentavam espongiose na camada granulosa.

Algumas características histopalógicas importantes das lesões nos membros dos bovinos deste estudo foram o acentuado espessamento das camadas da epiderme (hiperplasia), especialmente da camada espinhosa (acantose), a espongiose multifocal moderada, caracterizada pela presença de espaços intercelulares com alongamento das pontes intercelulares, a degeneração hidrópica, a hiperqueratose e a presença de infiltrado inflamatório na derme. De acordo com CARTON & MAcGAVIN (1998), a degeneração balonosa é resultado de uma tumefação celular e posterior ruptura das células, havendo formação de microvesículas.

Observou-se que, à medida que o escore de claudicação aumentava, as lesões microscópicas (hiperplasia, acantose, hiperqueratose e espongiose) também aumentavam sua frequência de ocorrência e severidade. Sendo que as lesões da epiderme foram mais frequentemente observadas nos membros pélvicos no GI, GII e GIII, corroborando os resultados de SILVA et al. (2001).

Houve um predomínio do infiltrado inflamatório mononuclear, distribuído difusamente na derme (Figura 1A/A’), representando 62,5% dos casos. Em 43,1% das amostras observou-se infiltrado multifocal. O infiltrado inflamatório mononuclear estava distribuído de forma intensa e difusa na derme e apresentaram-se moderadamente distribuídas principalmente na região perivascular.

Analisando a associação entre ocorrência de claudicação e presença de lesão macroscópica (Tabela 5), verificou-se que em 77,8% dos membros dos bovinos que apresentavam claudicação evidente (p<0,0001) havia lesão macroscópica. Dessa forma, infere-se que a claudicação esteve relacionada com a presença de enfermidade podal, ainda que tenham ocorrido variações no grau de severidade das lesões. MURRAY et al. (1996), em uma pesquisa empregando bovinos com enfermidades digitais, observaram que 96% dos episódios de claudicação estavam relacionados à ocorrência de lesões podais.

As alterações microscópicas também foram identificadas em 88,9% dos membros de bovinos claudicantes (p=0,0011), confirmando a existência de relação entre as variáveis (Tabela 6). Segundo HARGIS (1990), é frequente a presença de inflamação perivascular, edema e inúmeros mastócitos e eosinófilos em reações de hipersensibilidade e isso justificaria a presença de lesões microscópicas independentes.

Mediante as constatações, confirmou-se a relação entre ocorrência de claudicação, lesão macroscópica e microscópica. Verificou-se que, com o surgimento das alterações externas, inicia-se um processo inflamatório que varia de intensidade e extensão de acordo com a agressão. Ainda, respostas celulares podem acontecer de forma aguda em decorrência de quadros de hipersensibilidade, ocasionados geralmente por fatores que não modificam a integridade dos tecidos interdigitais macroscopicamente observados.

 

CONCLUSÃO

 De acordo com a metodologia empregada, pôde-se concluir que o escore de locomoção, associado à caracterização das lesões podais e ao exame histopatológico, auxiliou no diagnóstico de claudicação e que existe relação entre claudicação, lesões macroscópicas e alterações histopatológicas, mas não foi possível relacionar os tipos de lesões microscópicas às diferentes formas de manifestação das doenças podais nos bovinos estudados.

O confinamento em curto prazo (112 dias) não interferiu no agravamento de lesões externas e do escore de claudicação nos bovinos claudicantes avaliados.

As principais alterações histológicas foram: hiperplasia, acantose, espongiose, hiperquetose e na derme predomínio de infiltrado inflamatório mononuclear.

A ocorrência de lesões microscópicas, sem alterações podais externas, podem ser devido a reações de hipersensibilidade, provocadas por fatores externos ou internos sem comprometimento da integridade dos tecidos macroscopicamente observados.

A pododermatite séptica foi a enfermidade que mais frequentemente manifestou alterações macroscópicas, sendo que essas foram verificadas predominantemente nos membros pélvicos.

 REFERÊNCIAS

 

AMSTEL, S.R.V.; VUUREN, S.V.; TUTT, C.L.C. Digital dermatitis: report of an outbreak. Journal South African Veterinary Association, Petroria, v.66, n.3, p. 177-81, 1995.

BERGSTEN, C. Infectious diseases of the digits. In: GREENOUGH, P.R.; WEAVER, D.A. Lameness in Cattle. 3 ed. Philadelphia: W.B. Saunders Company 1997, 100p.

BLOWEY, R.W.; DONE, S.H.; COOLEY, W. Observations on the pathogenesis of digital dermatitis in cattle. The Veterinary Record: London, v. 135, p. 115-117, 1994.

BRITO, L.A.B.; FIORAVANTI, M.C.S.; SILVA, L.A.F.; ARAÚJO, E.G. Estudo anatomopatológico de lesões de dermatite digital em bovinos. Ciência Animal Brasileira, v.9, n.4, 2008.

CARLTON, W.W.; McGAVIN, M.D. Patologia Veterinária Especial de Thomson, 2 ed, Porto Alegre: Artmed, 1998, 59p.

CLARKSON, M. J.; DOWNHAM, D. Y.; FAULL,W.B.;HUGHES, J.W.;MANSON, F. J.; MERRITT, J.B.; MURRAY, R. D. ; RUSSELL,W.B.; SUTHERST, J. E.; WARD,WR. Incidence and prevalence of lameness in dairy cattle. Veterinary Record, Londres, n. 138, p. 563–567, 1996.

CRUZ, R.; GARCIA, D. ALVARADO-MORILLO, M. JIMÉNEZ, U.; PINO,D. Estudio radiológico de lesiones podales en El bovino a nível de campo. Archivos Latinoamericanos de Produccion Animal, v.5, n.1, p.604-606, 2001.

CUNHA, P.H.J.; SILVA, L.A.F.; MESQUITA, A.J.; BORGES, N.C.; FIORAVANTI, M.C.S.; MORAES, R.J.; SANTANA, A.P.  Avaliação da estabilidade do cloridrato de polihexametileno biguanida em pedilúvio para bovinos. Ciência Animal Brasileira, v.2, n.1, p.41-50, 2001.

DEMIRKAN, I.; MURRAY, R.D.; CARTER, S.D. Skin diseases of the bovine digit associated with lameness. Veterinary Bulletin, Fanhan Royal, v. 70, n. 2, p. 149-171, 2000.

DOHERTY, M.; BASSET, H.; MARKEY, B.; HEALY, A. M. Severe foot lameness in cattle associated with invasive spirochaetes. Irish Veterinary Journal, Dublin, v.51, n.4, p.15-18, 1998.

EBEID, M.; STEINER, A. Guidelines for taking and interpreting radiographs of the bovine foot. Veterinary Medicine, Philadelphia, v.91, n.3, p.268-272, 1996.

FERREIRA, P. M; LEITE, R. C; CARVALHO, A. U; FACURY FILHO, E. J; SOUZA, R. C; FERREIRA, M. G. Custo e resultados do tratamento de seqüelas de laminite bovina: relato de 112 casos em vacas em lactação no sistema free-stall. Arquivo Brasileiro de Medicina Vetrinária e Zootecnia, v.56, n.5, p.589-594, 2004.

HARGIS, A. Sistema tegumentar. In: THOMSON, R.G. Patologia Veterinária especial. São Paulo: Manole, 1990. 77p.

LEÃO, M.A.; SILVA, L.A.F.; JAYME, V.S.; SILVA, L.M.; MOURA. M.I.; BARBOSA, V.T. Aspectos Epidemiológicos da Dermatite Digital Bovina em duas Propriedades Produtoras de Leite do Estado de Goiás, Brasil. Ciência Animal Brasileira, v.10, n.4, p. 1135-1147, 2009.

LEIST, G.; RUDOLPH, R. Digital dermatitis: a histopathological evaluation and some new aspects in the pathogenesis of a multifactorial disease. Adapted from the Proceeding, XIX World Buiatrics Congress, Edinburgh, Scotland: July 8-12, 1996. The bovine practitioner, n. 32; 1998.

MARTINS, C.F.; SARTI, E.; BUSATO, I.; PIRES, P.P.; FIORI, C.H.; MOREIRA, C.; SOARES, K.; BETINI, B.; VELASQUEZ, M. Prevalência e classificação das afecções podais em vacas lactantes na bacia leiteira de Campo Grande (capital) e municípios arredores - MS. Ensaios e ciência, Campo Grande - MS, v.6, n.2, p. 113-137, 2002.

MOLINA, L. R.; CARVALHO, A. U.; FACURY FILHO, E. J.; FERREIRA, P. M., FERREIRA, V. C. P. Prevalência e classificação das afecções podais em vacas lactantes na bacia leiteira de Belo Horizonte. Arquivo Brasileiro de Medicina Veterinária e Zootecnia, Belo Horizonte, v. 51, n. 2, p. 149-52, 1999.

MOURA, M.I.; GOULART, D.S; ORLANDO, C.F.P.; ARÃES FRANCO, L.G.; SILVA, O.C.; SILVA, L.A.F. Dermatite Digital em Bovinos da Raça Nelore: Avaliação do Ganho de Peso, Medidas Testiculares e Epididimárias, no Pós-operatório das Lesões. Veterinária e Zootecnia, v.17, n.2, p. 239-249, 2010.

MURRAY, R. D.; DOWNHAM, D. Y.; CLARKSON, M. J. Epidemiology of lameness in dairy cattle; descripition and analysis of foot lesions. Veterinary Record, London, v. 138, n. 24, p. 586- 591, 1996.

NICOLETTI, J. L. M. Manual de podologia bovina. Barueri: Manole, 2004. 125p.

SILVA, L. A. F.; SILVA, L. K.; ROMANI, A. F.; RABELO, R. E.; FIORAVANTI, M. C. S.; SOUZA, T. M.; SILVA, C. A. Características clínicas e epidemiológicas das enfermidades podais em vacas lactantes do município de Orizona – GO. Ciência Animal Brasileira. Goiânia, v.2, n.2, p. 119-126, 2001.

WELLS, S. J.; TRENT, A. M.; MARSH, W. E. Prevalence and severity of lameness in lactating dairy cows in sample of Minnesota and Wiscosin herds. Journal of American Veterinary Medicine Association, Pretroria, v.202, n.1, 1993.


Protocolado em: 29 dez. 2010.   Aceito em: 25 maio 2011.